提醒成功
搜索
Rabbit Polyclonal Antibody to CREB(Phospho-Ser129)
-
货号:
P40252 -
别名:
CREB-1; CREB1; -
应用:
WB,IHC -
反应种属:
Human,Mouse,Rat -
抗体类型:
Primary antibody -
Swissprot:
P16220 -
规格:
-
数量:
-+ -
说明书:
目录价¥2180
Rabbit Polyclonal Antibody to CREB(Phospho-Ser129)
Description |
|---|
This protein binds the cAMP response element (CRE), a sequence present in many viral and cellular promoters. CREB stimulates transcription on binding to the CRE. Transcription activation is enhanced by the TORC coactivators which act independently of Ser-133 phosphorylation. Implicated in synchronization of circadian rhythmicity. |
References |
|---|
| Chrystelle V. Garat, et al. (2006) Mol. Cell. Biol ; 26: 4934 - 4948.Lilah Rothem,et al. (2004) Mol. Pharmacol ; 66: 1536 - 1543.Darren R. Tyson, et,al. (2002) Endocrinology; 143: 674.Kyung-Woo Park, et al. (2003) Arterioscler. Thromb. Vasc. Biol ; 23: 1364. |
Specification |
|
|---|---|
| Aliases | CREB-1; CREB1; |
| Entrez GeneID | 1385; |
| Swissprot | P16220 |
| WB Predicted band size | 43kDa |
| Host/Isotype | Rabbit IgG |
| Antibody Type | Primary antibody |
| Storage | Store at 4°C short term. Aliquot and store at -20°C long term. Avoid freeze/thaw cycles. |
| Species Reactivity | Human,Mouse,Rat |
| Immunogen | Peptide sequence around phosphorylation site of serine 129 (I-L-S(p)-R-R) derived from Human CREB. |
| Formulation | Liquid in PBS containing 50% glycerol, 0.5% BSA and 0.02% sodium azide. |
Application |
|
|---|---|
| WB | 1/500-1/1000 |
| IHC | 1/50-1/100 |
Product Image
- Western blot analysis of extracts from 293 cells untreated(lane 1) or treated with UV(lane 2) using CREB(Phospho-Ser129) Antibody P40252.
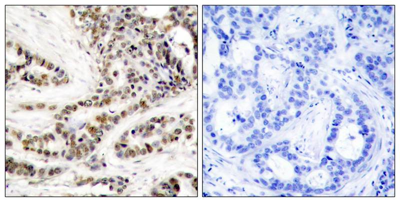
- Immunohistochemical analysis of paraffin-embedded human breast carcinoma tissue using CREB(Phospho-Ser129) Antibody P40252(left) or the same antibody preincubated with blocking peptide(right).
For Reseach Only
Application Key:WB - Western Blot | IHC - Immunohistochemistry | ICC - Immunocytochemistry | FCM - Flow Cytometry | ELISA - Enzyme-linked Immunosorbent Assay | IP - Immunoprecipitation
#P40252
相关产品

微信/QQ登录


首页
