提醒成功
搜索
Rabbit Polyclonal Antibody to IRS-1(Phospho-Ser639)
-
货号:
P40217 -
别名:
IRS-1; IRS1; -
应用:
WB,IHC -
反应种属:
Human,Mouse,Rat -
抗体类型:
Primary antibody -
Swissprot:
P35568 -
规格:
-
数量:
-+ -
说明书:
目录价¥2180
Rabbit Polyclonal Antibody to IRS-1(Phospho-Ser639)
Description |
|---|
May mediate the control of various cellular processes by insulin. When phosphorylated by the insulin receptor binds specifically to various cellular proteins containing SH2 domains such as phosphatidylinositol 3-kinase p85 subunit or GRB2. Activates phosphatidylinositol 3-kinase when bound to the regulatory p85 subunit |
References |
|---|
| Ozes ON, et al. (2001) Proc Natl Acad Sci U S A; 98(8): 4640-4645Tzatsos A, et al. (2006) Mol Cell Biol; 26(1): 63-76Steppan CM, et al. (2005) Mol Cell Biol; 25(4): 1569-1575Batty IH, et al. (2004) Biochem J; 379(Pt 3): 641-651 |
Specification |
|
|---|---|
| Aliases | IRS-1; IRS1; |
| Entrez GeneID | 3667; |
| Swissprot | P35568 |
| WB Predicted band size | 180kDa |
| Host/Isotype | Rabbit IgG |
| Antibody Type | Primary antibody |
| Storage | Store at 4°C short term. Aliquot and store at -20°C long term. Avoid freeze/thaw cycles. |
| Species Reactivity | Human,Mouse,Rat |
| Immunogen | Peptide sequence around phosphorylation site of serine 639 (P-K-S(p)-V-S) derived from Human IRS-1. |
| Formulation | Liquid in PBS containing 50% glycerol, 0.5% BSA and 0.02% sodium azide. |
Application |
|
|---|---|
| WB | 1/500-1/1000 |
| IHC | 1/50-1/100 |
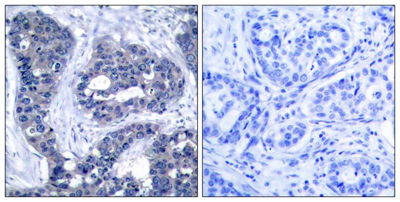
Product Image
- Western blot analysis of extracts from 293 cells untreated or treated with serum using IRS-1(Phospho-Ser639) Antibody P40217.
- Immunohistochemical analysis of paraffin-embedded human breast carcinoma tissue using IRS-1(Phospho-Ser639) Antibody P40217(left) or the same antibody preincubated with blocking peptide(right).
For Reseach Only
Application Key:WB - Western Blot | IHC - Immunohistochemistry | ICC - Immunocytochemistry | FCM - Flow Cytometry | ELISA - Enzyme-linked Immunosorbent Assay | IP - Immunoprecipitation
#P40217
相关产品

微信/QQ登录


首页
