提醒成功
搜索
Rabbit Polyclonal Antibody to Stathmin1(Phospho-Ser38)
-
货号:
P40212 -
别名:
STMN1; STN1; stathmin -
应用:
WB,IHC -
反应种属:
Human,Mouse,Rat -
抗体类型:
Primary antibody -
Swissprot:
P16949 -
规格:
-
数量:
-+ -
说明书:
目录价¥2180
Rabbit Polyclonal Antibody to Stathmin1(Phospho-Ser38)
Description |
|---|
Involved in the regulation of the microtubule (MT) filament system by destabilizing microtubules. Prevents assembly and promotes disassembly of microtubules. Phosphorylation at Ser-16 may be required for axon formation during neurogenesis. Involved in the control of the learned and innate fear |
References |
|---|
| Wang KK, et al. (1991) Biochem J 279(Pt 2): 537-544.Sekimoto T, et al. (2004) EMBO J 23(9): 1934-1942.Doye V, et al. (1992) Biochem J 287(Pt 2): 549-554.Larsson N, et al. (1999) Mol Cell Biol 19(3): 2242-2250. |
Specification |
|
|---|---|
| Aliases | STMN1; STN1; stathmin |
| Entrez GeneID | 3925; |
| Swissprot | P16949 |
| WB Predicted band size | 19kDa |
| Host/Isotype | Rabbit IgG |
| Antibody Type | Primary antibody |
| Storage | Store at 4°C short term. Aliquot and store at -20°C long term. Avoid freeze/thaw cycles. |
| Species Reactivity | Human,Mouse,Rat |
| Immunogen | Peptide sequence around phosphorylation site of serine 38 (P-L-S(p)-P-P) derived from Human Stathmin 1. |
| Formulation | Liquid in PBS containing 50% glycerol, 0.5% BSA and 0.02% sodium azide. |
Application |
|
|---|---|
| WB | 1/500-1/1000 |
| IHC | 1/50-1/100 |
Product Image
- Western blot analysis of extracts from K562 cells untreated or treated with starvation using Stathmin 1(Phospho-Ser38) Antibody P40212.
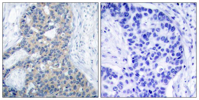
- Immunohistochemical analysis of paraffin-embedded human breast carcinoma tissue using Stathmin 1(Phospho-Ser38) Antibody P40212(left) or the same antibody preincubated with blocking peptide(right).
For Reseach Only
Application Key:WB - Western Blot | IHC - Immunohistochemistry | ICC - Immunocytochemistry | FCM - Flow Cytometry | ELISA - Enzyme-linked Immunosorbent Assay | IP - Immunoprecipitation
#P40212
相关产品

微信/QQ登录


首页
