提醒成功
搜索
Rabbit Polyclonal Antibody to 4E-BP1(Phospho-Thr46)
-
货号:
P40210 -
别名:
EIF4EBP1; PHAS-1; -
应用:
WB,IHC -
反应种属:
Human,Mouse,Rat -
抗体类型:
Primary antibody -
Swissprot:
Q13541 -
规格:
-
数量:
-+ -
说明书:
目录价¥2180
Rabbit Polyclonal Antibody to 4E-BP1(Phospho-Thr46)
Description |
|---|
4E-BP1 encodes one member of a family of translation repressor proteins. The protein directly interacts with eukaryotic translation initiation factor 4E (eIF4E), which is a limiting component of the multisubunit complex that recruits 40S ribosomal subunits to the 5' end of mRNAs. Interaction of this protein with eIF4E inhibits complex assembly and represses translation. This protein is phosphorylated in response to various signals including UV irradiation and insulin signaling, resulting in its dissociation from eIF4E and activation of mRNA translation. |
References |
|---|
| Gingras AC, et al. (1998) Genes Dev 12(4): 502-513. Brugarolas J, et al. (2004) Genes Dev 18(23): 2893-2904. Kumar V, et al. (2000) EMBO J 19(5): 1087-1097. Moody CA, et al. (2005) J Virol 79(9): 5499-5506. Burnett PE, et al. (1998) Proc Natl Acad Sci U S A 95(4): 1432-1437. |
Specification |
|
|---|---|
| Aliases | EIF4EBP1; PHAS-1; |
| Entrez GeneID | 1978; |
| Swissprot | Q13541 |
| WB Predicted band size | 18kDa |
| Host/Isotype | Rabbit IgG |
| Antibody Type | Primary antibody |
| Storage | Store at 4°C short term. Aliquot and store at -20°C long term. Avoid freeze/thaw cycles. |
| Species Reactivity | Human,Mouse,Rat |
| Immunogen | Peptide sequence around phosphorylation site of threonine 46 (S-T-T(p)-P-G) derived from Human 4E-BP1. |
| Formulation | Liquid in PBS containing 50% glycerol, 0.5% BSA and 0.02% sodium azide. |
Application |
|
|---|---|
| WB | 1/500-1/1000 |
| IHC | 1/50-1/100 |
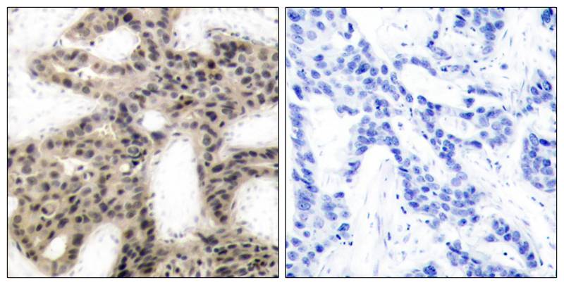
Product Image
- Western blot analysis of extracts from Hela cells using 4E-BP1 (Phospho-Thr46) Antibody P40210 and the same antibody preincubated with blocking peptide.
- Immunohistochemical analysis of paraffin-embedded human breast carcinoma tissue using 4E-BP1(Phospho-Thr45) Antibody P40210(left) or the same antibody preincubated with blocking peptide(right).
For Reseach Only
Application Key:WB - Western Blot | IHC - Immunohistochemistry | ICC - Immunocytochemistry | FCM - Flow Cytometry | ELISA - Enzyme-linked Immunosorbent Assay | IP - Immunoprecipitation
#P40210
相关产品

微信/QQ登录


首页
