提醒成功

搜索
Rabbit Polyclonal Antibody to IkB-e(Phospho-Ser22)
-
货号:
P40200 -
别名:
I-kappa-B-epsilon; IKBE; IkappaBepsilon; NF-kappa-BIE; NF-kappaB inhibitor epsilon -
应用:
WB,IHC -
反应种属:
Human,Mouse -
抗体类型:
Primary antibody -
Swissprot:
O54910 -
规格:
-
数量:
-+ -
说明书:
目录价¥2180

Rabbit Polyclonal Antibody to IkB-e(Phospho-Ser22)
Description |
---|
Inhibits NF-kappa-B by complexing with and trapping it in the cytoplasm. Inhibits DNA-binding of NF-kappa-B p50-p65 and p50-c-Rel complexes. |
References |
---|
Shirane M, et al. (1999) J Biol Chem; 274(40): 28169-74 Karin, M. and Ben-Neriah, Y. (2000) Annu. Rev. Immunol. ;18, 621-663. Chen, Z.J. et al. (1996) Cell; 84, 853-862. Brown, K. et al. (1995) Science; 267, 1485-1488. |
Specification |
|
---|---|
Aliases | I-kappa-B-epsilon; IKBE; IkappaBepsilon; NF-kappa-BIE; NF-kappaB inhibitor epsilon |
Entrez GeneID | 18037; |
Swissprot | O54910 |
WB Predicted band size | 40kDa |
Host/Isotype | Rabbit IgG |
Antibody Type | Primary antibody |
Storage | Store at 4°C short term. Aliquot and store at -20°C long term. Avoid freeze/thaw cycles. |
Species Reactivity | Human,Mouse |
Immunogen | Peptide sequence around phosphorylation site of serine 22 (I-E-S(p)-L-R) derived from Mouse IkB-蔚. |
Formulation | Purified antibody in PBS with 0.05% sodium azide. |
Application |
|
---|---|
WB | 1/500-1/1000 |
IHC | 1/50-1/100 |
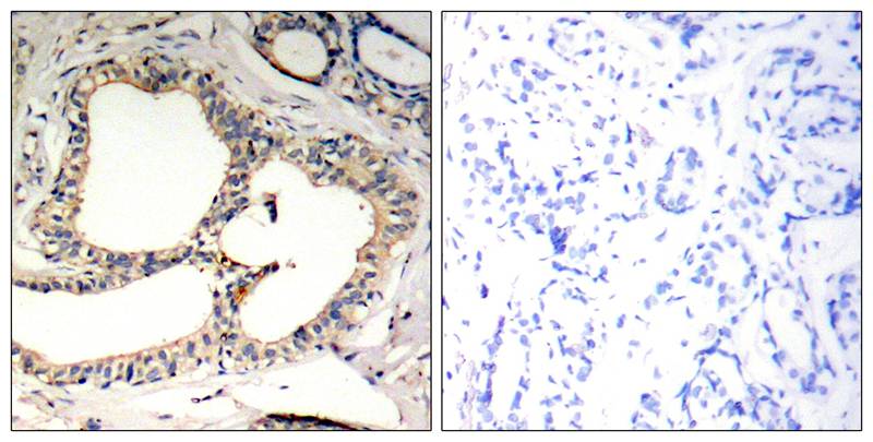
Product Image
- Western blot analysis of extracts from 293 cells untreated or treated with TNF using IkB-e(Phospho-Ser22) Antibody P40200.
- Immunohistochemical analysis of paraffin-embedded human breast carcinoma tissue using IkB-e(Phospho-Ser22) Antibody P40200(left) or the same antibody preincubated with blocking peptide(right).
For Reseach Only
Application Key:WB - Western Blot | IHC - Immunohistochemistry | ICC - Immunocytochemistry | FCM - Flow Cytometry | ELISA - Enzyme-linked Immunosorbent Assay | IP - Immunoprecipitation
#P40200

相关产品


