提醒成功

搜索
Rabbit Polyclonal Antibody to p27Kip1(Phospho-Thr187)
-
货号:
P40195 -
别名:
CDKN1B; CDN1B; Cyclin-dependent kinase inhibitor 1B; Cyclin-dependent kinase inhibitor p27; KIP1 -
应用:
WB,IHC -
反应种属:
Human -
抗体类型:
Primary antibody -
Swissprot:
P46527 -
规格:
-
数量:
-+ -
说明书:
目录价¥2180

Rabbit Polyclonal Antibody to p27Kip1(Phospho-Thr187)
Description |
---|
Important regulator of cell cycle progression. Involved in G1 arrest. Potent inhibitor of cyclin E- and cyclin A-CDK2 complexes. Positive regulator of cyclin D-dependent kinases such as CDK4. Regulated by phosphorylation and degradation events. |
References |
---|
Eguchi H, et al. (2003) Cancer Res; 63(15): 4739-46Le XF, et al. (2003) J Biol Chem;Connor MK, et al. (2003) |
Specification |
|
---|---|
Aliases | CDKN1B; CDN1B; Cyclin-dependent kinase inhibitor 1B; Cyclin-dependent kinase inhibitor p27; KIP1 |
Entrez GeneID | 1027; |
Swissprot | P46527 |
WB Predicted band size | 27kDa |
Host/Isotype | Rabbit IgG |
Antibody Type | Primary antibody |
Storage | Store at 4°C short term. Aliquot and store at -20°C long term. Avoid freeze/thaw cycles. |
Species Reactivity | Human |
Immunogen | Peptide sequence around phosphorylation site of threonine 187 (E-Q-T(p)-P-K) derived from Human p27Kip1. |
Formulation | Purified antibody in PBS with 0.05% sodium azide. |
Application |
|
---|---|
WB | 1/500-1/1000 |
IHC | 1/50-1/100 |
Product Image
- Western blot analysis of extracts from Hela cells untreated or treated with EGF, IFN-a using p27Kip1(Phospho-Thr187) Antibody P40195.
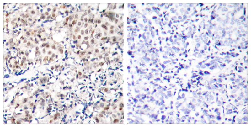
- Immunohistochemical analysis of paraffin-embedded human breast carcinoma tissue using p27Kip1(Phospho-Thr187) Antibody P40195(left) or the same antibody preincubated with blocking peptide(right).
For Reseach Only
Application Key:WB - Western Blot | IHC - Immunohistochemistry | ICC - Immunocytochemistry | FCM - Flow Cytometry | ELISA - Enzyme-linked Immunosorbent Assay | IP - Immunoprecipitation
#P40195

相关产品


