提醒成功
搜索
Rabbit Polyclonal Antibody to MEK1/MEK2(Phospho-Ser217/Ser221)
-
货号:
P40193 -
别名:
ERK activator kinase 1/ERK activator kinase2; MAP kinase kinase 1/MAP kinase kinase 2; MAP2K1/MAP2K1; MAPK/ERK kinase 1/MAPK/ERK kinase 2; MAPKK 1/MAPKK 1 -
应用:
WB,IHC -
反应种属:
Human,Mouse,Rat -
抗体类型:
Primary antibody -
Swissprot:
Q02750 -
规格:
-
数量:
-+ -
说明书:
目录价¥2180
Rabbit Polyclonal Antibody to MEK1/MEK2(Phospho-Ser217/Ser221)
Description |
|---|
Catalyzes the concomitant phosphorylation of a threonine and a tyrosine residue in a Thr-Glu-Tyr sequence located in MAP kinases. Activates ERK1 and ERK2 MAP kinases. |
References |
|---|
| Shen R, et al. (2002) Mol Cell Biol; 22(10): 3230-3236Preisinger C, et al. (2005) EMBO J; 24(4): 753-765Laine P, et al. (2000) Biochem J; 349(Pt 1): 19-25Yaglom J, et al. (2003) Mol Cell Biol; 23(11): 3813-3824Dahan S, et al. (2002) Infect Immun; 70(5): 2304-2310 |
Specification |
|
|---|---|
| Aliases | ERK activator kinase 1/ERK activator kinase2; MAP kinase kinase 1/MAP kinase kinase 2; MAP2K1/MAP2K1; MAPK/ERK kinase 1/MAPK/ERK kinase 2; MAPKK 1/MAPKK 1 |
| Entrez GeneID | 5604; |
| Swissprot | Q02750 |
| WB Predicted band size | 45kDa |
| Host/Isotype | Rabbit IgG |
| Antibody Type | Primary antibody |
| Storage | Store at 4°C short term. Aliquot and store at -20°C long term. Avoid freeze/thaw cycles. |
| Species Reactivity | Human,Mouse,Rat |
| Immunogen | Peptide sequence around phosphorylation site of serine 217/221 (I-D-S(p)-M-A) derived from Human MEK1/MEK2. |
| Formulation | Liquid in PBS containing 50% glycerol, 0.5% BSA and 0.02% sodium azide. |
Application |
|
|---|---|
| WB | 1/500-1/1000 |
| IHC | 1/50-1/100 |
Product Image
- Western blot analysis of extracts from Hela cell untreated or treated with UV MEK1/MEK2(Phospho-Ser217/Ser221) AntibodyP40193
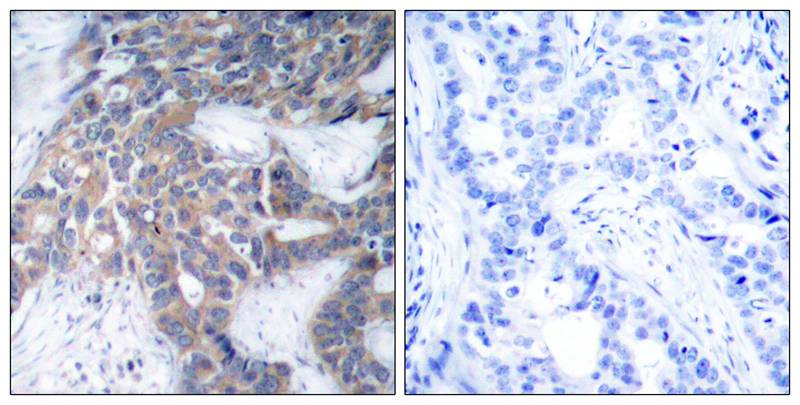
- Immunohistochemical analysis of paraffin-embedded human breast carcinoma tissue using MEK1/MEK2(Phospho-Ser217/Ser221) Antibody P40193(left) or the same antibody preincubated with blocking peptide(right).
For Reseach Only
Application Key:WB - Western Blot | IHC - Immunohistochemistry | ICC - Immunocytochemistry | FCM - Flow Cytometry | ELISA - Enzyme-linked Immunosorbent Assay | IP - Immunoprecipitation
#P40193
相关产品

微信/QQ登录


首页
