提醒成功
搜索
Rabbit Polyclonal Antibody to Bcr(Phospho-Tyr177)
-
货号:
P40188 -
别名:
BCR; BCR protein; BCR1 -
应用:
WB,IHC -
反应种属:
Human,Mouse -
抗体类型:
Primary antibody -
Swissprot:
P11274 -
规格:
-
数量:
-+ -
说明书:
目录价¥2180
Rabbit Polyclonal Antibody to Bcr(Phospho-Tyr177)
Description |
|---|
GTPase-activating protein for RAC1 and CDC42. Promotes the exchange of RAC or CDC42-bound GDP by GTP, thereby activating them. Displays serine/threonine kinase activity. |
References |
|---|
| Sattler M, et al. Mol Cell Biol. 1999 Nov; 19(11): 7473-7480.Li S et al. EMBO J. 2001 Dec 3; 20(23): 6793-6804.Million RP, et,al. Mol Cell Biol. 2004 Jun; 24(11): 4685-4695.Malcolm A. Meyn, et al. . Biol. Chem., Oct 2006; 281: 30907 |
Specification |
|
|---|---|
| Aliases | BCR; BCR protein; BCR1 |
| Entrez GeneID | 613; |
| Swissprot | P11274 |
| WB Predicted band size | 210kDa |
| Host/Isotype | Rabbit IgG |
| Antibody Type | Primary antibody |
| Storage | Store at 4°C short term. Aliquot and store at -20°C long term. Avoid freeze/thaw cycles. |
| Species Reactivity | Human,Mouse |
| Immunogen | Peptide sequence around phosphorylation site of tyrosine 177 (P-F-Y(p)-V-N) derived from Human Bcr. |
| Formulation | Liquid in PBS containing 50% glycerol, 0.5% BSA and 0.02% sodium azide. |
Application |
|
|---|---|
| WB | 1/500-1/1000 |
| IHC | 1/50-1/100 |
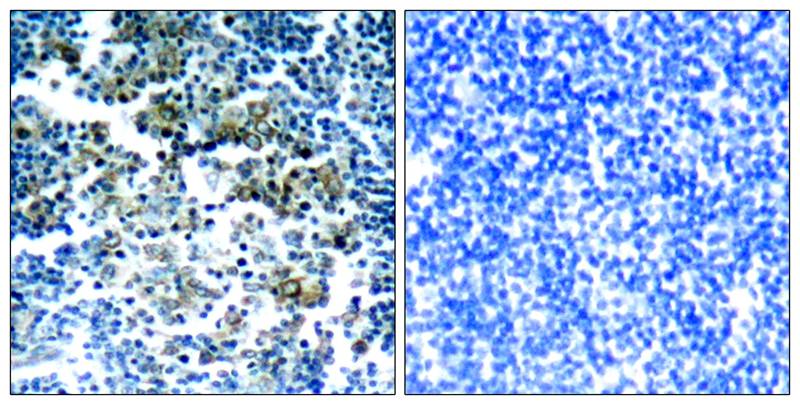
Product Image
- Western blot analysis of extracts from K562 cells untreated or treated with H2O2 using Bcr(Phospho-Tyr177) Antibody P40188.
- Immunohistochemical analysis of paraffin-embedded human tonsil tumor tissue using Bcr(Phospho-Tyr177) Antibody P40188(left) or the same antibody preincubated with blocking peptide(right).
For Reseach Only
Application Key:WB - Western Blot | IHC - Immunohistochemistry | ICC - Immunocytochemistry | FCM - Flow Cytometry | ELISA - Enzyme-linked Immunosorbent Assay | IP - Immunoprecipitation
#P40188
相关产品

微信/QQ登录


首页
