提醒成功
搜索
Rabbit Polyclonal Antibody to HDAC5(Phospho-Ser498)
-
货号:
P40184 -
别名:
HD5 -
应用:
WB,IHC -
反应种属:
Human,Mouse -
抗体类型:
Primary antibody -
Swissprot:
Q9UQL6 -
规格:
-
数量:
-+ -
说明书:
目录价¥2180
Rabbit Polyclonal Antibody to HDAC5(Phospho-Ser498)
Description |
|---|
Histones play a critical role in transcriptional regulation, cell cycle progression, and developmental events. Histone acetylation/deacetylation alters chromosome structure and affects transcription factor access to DNA. The protein encoded by HDAC5 belongs to the class II histone deacetylase/acuc/apha family. It possesses histone deacetylase activity and represses transcription when tethered to a promoter. It coimmunoprecipitates only with HDAC3 family member and might form multicomplex proteins. It also interacts with myocyte enhancer factor-2 (MEF2) proteins, resulting in repression of MEF2-dependent genes. This gene is thought to be associated with colon cancer. Two transcript variants encoding different isoforms have been found for this gene. |
References |
|---|
| Doppler H, et al. (2005) J Biol Chem. 280(15):15013-15019. McKinsey TA, et al. (2000) Nature. 408(6808): 106-111. |
Specification |
|
|---|---|
| Aliases | HD5 |
| Entrez GeneID | 10014; |
| Swissprot | Q9UQL6 |
| WB Predicted band size | 124kDa |
| Host/Isotype | Rabbit IgG |
| Antibody Type | Primary antibody |
| Storage | Store at 4°C short term. Aliquot and store at -20°C long term. Avoid freeze/thaw cycles. |
| Species Reactivity | Human,Mouse |
| Immunogen | Peptide sequence around phosphorylation site of serine 498 (T-Q-S(p)-S-P) derived from Human HDAC5/7. |
| Formulation | Liquid in PBS containing 50% glycerol, 0.5% BSA and 0.02% sodium azide. |
Application |
|
|---|---|
| WB | 1/500-1/1000 |
| IHC | 1/50-1/100 |
Product Image
- Western blot analysis of extracts from 293 cells untreated or treated with serum starvation using HDAC5(Phospho-Ser498) Antibody P40184.
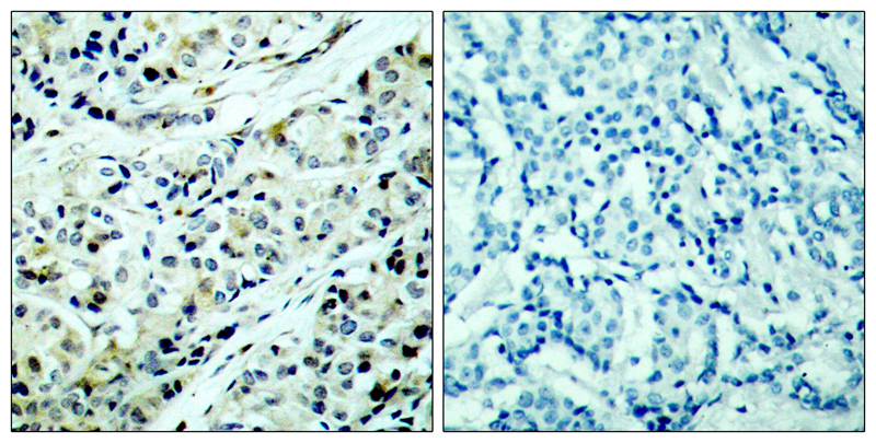
- Immunohistochemical analysis of paraffin-embedded human breast carcinoma tissue using HDAC5(Phospho-Ser498) Antibody P40184(left) or the same antibody preincubated with blocking peptide(right).
For Reseach Only
Application Key:WB - Western Blot | IHC - Immunohistochemistry | ICC - Immunocytochemistry | FCM - Flow Cytometry | ELISA - Enzyme-linked Immunosorbent Assay | IP - Immunoprecipitation
#P40184
相关产品

微信/QQ登录


首页
