提醒成功
搜索
Rabbit Polyclonal Antibody to ADD1(Phospho-Ser726)
-
货号:
P40173 -
别名:
ADDA; Erythrocyte adducin alpha subunit; -
应用:
WB,IHC,IF -
反应种属:
Human,Mouse,Rat -
抗体类型:
Primary antibody -
Swissprot:
P35611 -
规格:
-
数量:
-+ -
说明书:
目录价¥2180
Rabbit Polyclonal Antibody to ADD1(Phospho-Ser726)
Description |
|---|
Adducins are a family of cytoskeleton proteins encoded by three genes (a, beta, gamma). Adducin is a heterodimeric protein that consists of related subunits, which are produced from distinct genes but share a similar structure. a- and beta-adducin include a protease-resistant N-terminal region and a protease-sensitive, hydrophilic C-terminal region. a- and gamma-adducins are ubiquitously expressed. In contrast, beta-adducin is expressed at high levels in brain and hematopoietic tissues. Adducin binds with high affinity to Ca(2+)/calmodulin and is a substrate for protein kinases A and C. Alternative splicing results in multiple variants encoding distinct isoforms; however, not all variants have been fully described. |
References |
|---|
| Pariser H, et al. Proc Natl Acad Sci USA 2005 Aug 30; 102(35): 12407-12Tamaru S, et al. Biochem Biophys Res Commun 2005 Jul 01; 332(2): 347-51Barkalow KL, et al. J Cell Biol 2003 May 12; 161(3): 557-70 |
Specification |
|
|---|---|
| Aliases | ADDA; Erythrocyte adducin alpha subunit; |
| Entrez GeneID | 118; |
| Swissprot | P35611 |
| WB Predicted band size | 130kDa |
| Host/Isotype | Rabbit IgG |
| Antibody Type | Primary antibody |
| Storage | Store at 4°C short term. Aliquot and store at -20°C long term. Avoid freeze/thaw cycles. |
| Species Reactivity | Human,Mouse,Rat |
| Immunogen | Peptide sequence around phosphorylation site of serine 726 (T-P-S(p)-F-L) derived from Human ADD1. |
| Formulation | Liquid in PBS containing 50% glycerol, 0.5% BSA and 0.02% sodium azide. |
Application |
|
|---|---|
| WB | 1/500-1/1000 |
| IHC | 1/50-1/100 |
| IF/ICC | 1/100-1/200 |
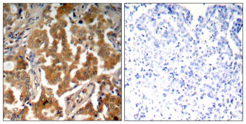
Product Image
- Western blot analysis of extracts from Hela cells using ADD1(Phospho-Ser726) Antibody P40173 and the same antibody preincubated with blocking peptide.
- Immunofluorescence staining of methanol-fixed Hela cells using ADD1(Phospho-Ser726) Antibody P40173.
- Immunohistochemical analysis of paraffin-embedded human lung carcinoma tissue using ADD1(Phospho-Ser726) Antibody P40173(left) or the same antibody preincubated with blocking peptide(right).
For Reseach Only
Application Key:WB - Western Blot | IHC - Immunohistochemistry | ICC - Immunocytochemistry | FCM - Flow Cytometry | ELISA - Enzyme-linked Immunosorbent Assay | IP - Immunoprecipitation
#P40173
相关产品

微信/QQ登录


首页
