提醒成功
搜索
Rabbit Polyclonal Antibody to SEK1/MKK4(Phospho-Thr261)
-
货号:
P40168 -
别名:
JNKK; JNKK1; MAP2K4; MAPK/ERK kinase 4; MAPKK 4 -
应用:
IHC,IF -
反应种属:
Human,Mouse,Rat -
抗体类型:
Primary antibody -
Swissprot:
P45985 -
规格:
-
数量:
-+ -
说明书:
目录价¥2180
Rabbit Polyclonal Antibody to SEK1/MKK4(Phospho-Thr261)
Description |
|---|
Dual specificity kinase that activates the JUN kinases MAPK8 (JNK1) and MAPK9 (JNK2) as well as MAPK14 (p38) but not MAPK1 (ERK2) or MAPK3 (ERK1). |
References |
|---|
| Wang W, et al. (2002) Mol Cell Biol; 22(10): 3389-403.Leung IW, et al. (2001) J Biol Chem; 276(3): 1961-7. |
Specification |
|
|---|---|
| Aliases | JNKK; JNKK1; MAP2K4; MAPK/ERK kinase 4; MAPKK 4 |
| Entrez GeneID | 6416; |
| Swissprot | P45985 |
| WB Predicted band size | 44kDa |
| Host/Isotype | Rabbit IgG |
| Antibody Type | Primary antibody |
| Storage | Store at 4°C short term. Aliquot and store at -20°C long term. Avoid freeze/thaw cycles. |
| Species Reactivity | Human,Mouse,Rat |
| Immunogen | Peptide sequence around phosphorylation site of threonine261 (A-K-T(p)-RD) derived from Human SEK1/MKK4. |
| Formulation | Liquid in PBS containing 50% glycerol, 0.5% BSA and 0.02% sodium azide. |
Application |
|
|---|---|
| IHC | 1/50-1/100 |
| IF/ICC | 1/100-1/200 |
Product Image
- Immunofluorescence staining of methanol-fixed Hela cells using SEK1/MKK4(Phospho-Thr261) Antibody P40168.
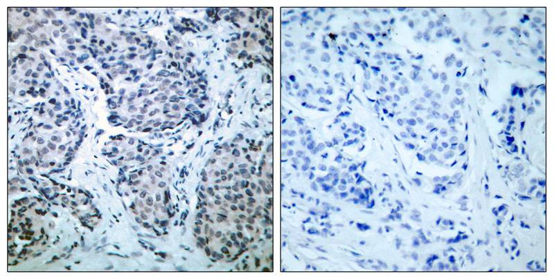
- Immunohistochemical analysis of paraffin-embedded human breast carcinoma tissue using SEK1/MKK4(Phospho-Thr261) Antibody P40168(left) or the same antibody preincubated with blocking peptide(right).
For Reseach Only
Application Key:WB - Western Blot | IHC - Immunohistochemistry | ICC - Immunocytochemistry | FCM - Flow Cytometry | ELISA - Enzyme-linked Immunosorbent Assay | IP - Immunoprecipitation
#P40168
相关产品

微信/QQ登录


首页
