提醒成功
搜索
Rabbit Polyclonal Antibody to NFkB-p65(Phospho-Thr505)
-
货号:
P40160 -
别名:
NFKB3; RELA; TF65; Transcription factor p65; p65 -
应用:
WB,IHC -
反应种属:
Human -
抗体类型:
Primary antibody -
Swissprot:
Q04206 -
规格:
-
数量:
-+ -
说明书:
目录价¥2180
Rabbit Polyclonal Antibody to NFkB-p65(Phospho-Thr505)
Description |
|---|
NF-kappa-B is a pleiotropic transcription factor which is present in almost all cell types and is involved in many biological processed such as inflammation, immunity, differentiation, cell growth, tumorigenesis and apoptosis. NF-kappa-B is a homo- or heterodimeric complex formed by the Rel-like domain-containing proteins RELA/p65, RELB, NFKB1/p105, NFKB1/p50, REL and NFKB2/p52 and the heterodimeric p65-p50 complex appears to be most abundant one. The dimers bind at kappa-B sites in the DNA of their target genes and the individual dimers have distinct preferences for different kappa-B sites that they can bind with distinguishable affinity and specificity. Different dimer combinations act as transcriptional activators or repressors, respectively. NF-kappa-B is controlled by various mechanisms of post-translational modification and subcellular compartmentalization as well as by interactions with other cofactors or corepressors. NF-kappa-B complexes are held in the cytoplasm in an inactive state complexed with members of the NF-kappa-B inhibitor (I-kappa-B) family. In a conventional activation pathway, I-kappa-B is phosphorylated by I-kappa-B kinases (IKKs) in response to different activators, subsequently degraded thus liberating the active NF-kappa-B complex which translocates to the nucleus. NF-kappa-B heterodimeric p65-p50 and p65-c-Rel complexes are transcriptional activators. The NF-kappa-B p65-p65 complex appears to be involved in invasin-mediated activation of IL-8 expression. The inhibitory effect of I-kappa-B upon NF-kappa-B the cytoplasm is exerted primarily through the interaction with p65. p65 shows a weak DNA-binding site which could contribute directly to DNA binding in the NF-kappa-B complex |
References |
|---|
| Baeuerle P A, et al. (1994) Annu Rev Immunol. 12:141-179. Baeuerle P A, et al. (1996) Cell 87:13-20. Haskill S, et al. (1991) Cell 65:1281-1289. |
Specification |
|
|---|---|
| Aliases | NFKB3; RELA; TF65; Transcription factor p65; p65 |
| Entrez GeneID | 5970; |
| Swissprot | Q04206 |
| WB Predicted band size | 65kDa |
| Host/Isotype | Rabbit IgG |
| Antibody Type | Primary antibody |
| Storage | Store at 4°C short term. Aliquot and store at -20°C long term. Avoid freeze/thaw cycles. |
| Species Reactivity | Human |
| Immunogen | Peptide sequence around phosphorylation site of threonine 505 (L-V-T(p)-G-A) derived from Human NFkB-p65. |
| Formulation | Liquid in PBS containing 50% glycerol, 0.5% BSA and 0.02% sodium azide. |
Application |
|
|---|---|
| WB | 1/500-1/1000 |
| IHC | 1/50-1/100 |
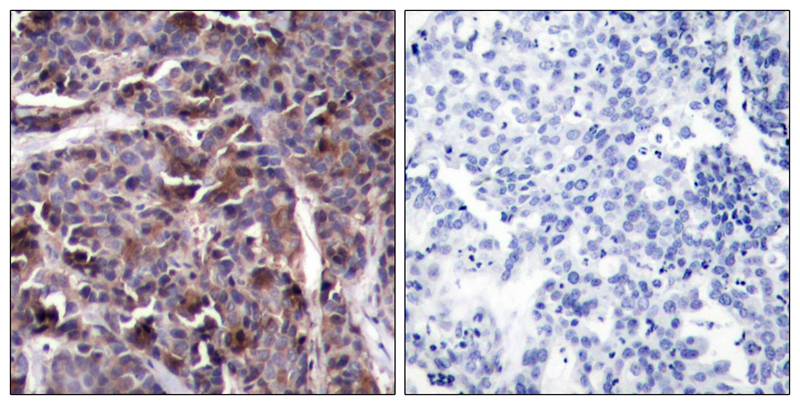
Product Image
- Western blot analysis of extracts from HL60 cells untreated or treated with TNF-a using NFkB-p65(Phospho-Thr505) Antibody P40160.
- Immunohistochemical analysis of paraffin-embedded human breast carcinoma tissue using NFkB-p65(Phospho-Thr505) Antibody P40160(left) or the same antibody preincubated with blocking peptide(right).
For Reseach Only
Application Key:WB - Western Blot | IHC - Immunohistochemistry | ICC - Immunocytochemistry | FCM - Flow Cytometry | ELISA - Enzyme-linked Immunosorbent Assay | IP - Immunoprecipitation
#P40160
相关产品

微信/QQ登录


首页
