提醒成功
搜索
Rabbit Polyclonal Antibody to PAK1/PAK2/PAK3(Phospho-Thr423/Thr402/Thr421)
-
货号:
P40159 -
别名:
p21-activated kinase 1; PAK-1; p65-PAK; Alpha-PAK; -
应用:
IHC,IF -
反应种属:
Human,Mouse,Rat -
抗体类型:
Primary antibody -
Swissprot:
Q13153 -
规格:
-
数量:
-+ -
说明书:
目录价¥2180
Rabbit Polyclonal Antibody to PAK1/PAK2/PAK3(Phospho-Thr423/Thr402/Thr421)
Description |
|---|
The activated kinase acts on a variety of targets. Likely to be the GTPase effector that links the Rho-related GTPases to the JNK MAP kinase pathway. Activated by CDC42 and RAC1. Involved in dissolution of stress fibers and reorganization of focal complexes. Involved in regulation of microtubule biogenesis through phosphorylation of TBCB. Activity is inhibited in cells undergoing apoptosis, potentially due to binding of CDC2L1 and CDC2L2. |
References |
|---|
| Parsons M, et al. (2005) Mol Cell Biol ; 25:1680-1695. Jung JH, et al. (2005) J Biol Chem; 280:40025-40031. Lampugnani MG, et al. (2002) Mol Biol Cell ; 13: 1175-1189 Wang RA, et al. (2002) EMBO J; 21: 5437 - 5447. |
Specification |
|
|---|---|
| Aliases | p21-activated kinase 1; PAK-1; p65-PAK; Alpha-PAK; |
| Entrez GeneID | 5058; |
| Swissprot | Q13153 |
| WB Predicted band size | 61-67 (PAK2) 68-74 (PAK1/3)kDa |
| Host/Isotype | Rabbit IgG |
| Antibody Type | Primary antibody |
| Storage | Store at 4°C short term. Aliquot and store at -20°C long term. Avoid freeze/thaw cycles. |
| Species Reactivity | Human,Mouse,Rat |
| Immunogen | Peptide sequence around phosphorylation site of threonine 423 /402/421 (R-S-T(p)-M-V) derived from Human PAK1/PAK2/PAK3. |
| Formulation | Liquid in PBS containing 50% glycerol, 0.5% BSA and 0.02% sodium azide. |
Application |
|
|---|---|
| IHC | 1/50-1/100 |
| IF/ICC | 1/100-1/200 |
Product Image
- Immunofluorescence staining of methanol-fixed Hela cells using PAK1/PAK2/PAK3(Phospho-Thr423/Thr402/Thr421) Antibody P40159.
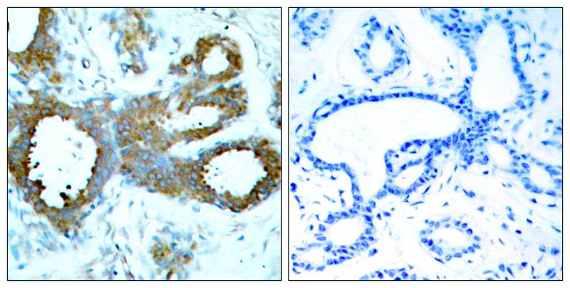
- Immunohistochemical analysis of paraffin-embedded human breast carcinoma tissue using PAK1/PAK2/PAK3(Phospho-Thr423/Thr402/Thr421) Antibody P40159(left) or the same antibody preincubated with blocking peptide(right).
For Reseach Only
Application Key:WB - Western Blot | IHC - Immunohistochemistry | ICC - Immunocytochemistry | FCM - Flow Cytometry | ELISA - Enzyme-linked Immunosorbent Assay | IP - Immunoprecipitation
#P40159
相关产品

微信/QQ登录


首页
