提醒成功
搜索
Rabbit Polyclonal Antibody to STAT1(Phospho-Ser727)
-
货号:
P40157 -
别名:
ISGF-3; STAT91; -
应用:
WB,IHC,IF -
反应种属:
Human,Mouse -
抗体类型:
Primary antibody -
Swissprot:
P42224 -
规格:
-
数量:
-+ -
说明书:
目录价¥2180
Rabbit Polyclonal Antibody to STAT1(Phospho-Ser727)
Description |
|---|
Signal transducer and activator of transcription that mediates signaling by interferons (IFNs). Following type I IFN (IFN-a and IFN-beta) binding to cell surface receptors, Jak kinases (TYK2 and JAK1) are activated, leading to tyrosine phosphorylation of STAT1 and STAT2. The phosphorylated STATs dimerize, associate with ISGF3G/IRF-9 to form a complex termed ISGF3 transcription factor, that enters the nucleus. ISGF3 binds to the IFN stimulated response element (ISRE) to activate the transcription of interferon stimulated genes, which drive the cell in an antiviral state. In response to type II IFN (IFN-gamma), STAT1 is tyrosine- and serine-phosphorylated. It then forms a homodimer termed IFN-gamma-activated factor (GAF), migrates into the nucleus and binds to the IFN gamma activated sequence (GAS) to drive the expression of the target genes, inducing a cellular antiviral state. |
References |
|---|
| Yuan ZM, et al. (1999) Nature.399 (6738): 814-817.Schindler C, et al. (1992) Proc. Natl. Acad. Sci. U.S.A 89:7836-7839.Strausberg R.L (2002). Proc. Natl. Acad. Sci. U.S.A. 99:16899-16903.Quelle F.W., (1995) J. Biol. Chem. 270:20775-20780. |
Specification |
|
|---|---|
| Aliases | ISGF-3; STAT91; |
| Entrez GeneID | 6772; |
| Swissprot | P42224 |
| WB Predicted band size | 91kDa |
| Host/Isotype | Rabbit IgG |
| Antibody Type | Primary antibody |
| Storage | Store at 4°C short term. Aliquot and store at -20°C long term. Avoid freeze/thaw cycles. |
| Species Reactivity | Human,Mouse |
| Immunogen | Peptide sequence around phosphorylation site of serine 727 (P-M-S(p)-P-E) derived from Human STAT1. |
| Formulation | Liquid in PBS containing 50% glycerol, 0.5% BSA and 0.02% sodium azide. |
Application |
|
|---|---|
| WB | 1/500-1/1000 |
| IHC | 1/50-1/100 |
| IF/ICC | 1/100-1/200 |
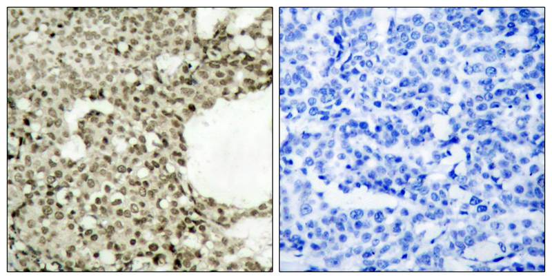
Product Image
- Western blot analysis of extracts from Hela cells using STAT1(Phospho-Ser727) Antibody P40157.
- Immunofluorescence staining of methanol-fixed Hela cells using STAT1(Phospho-Ser727) Antibody P40157.
- Immunohistochemical analysis of paraffin-embedded human breast carcinoma tissue using STAT1(Phospho-Ser727) Antibody P40157(left) or the same antibody preincubated with blocking peptide(right).
For Reseach Only
Application Key:WB - Western Blot | IHC - Immunohistochemistry | ICC - Immunocytochemistry | FCM - Flow Cytometry | ELISA - Enzyme-linked Immunosorbent Assay | IP - Immunoprecipitation
#P40157
相关产品

微信/QQ登录


首页
