提醒成功
搜索
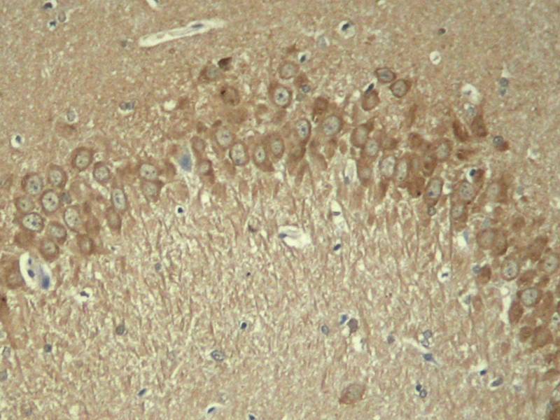
Rabbit Polyclonal Antibody to Tau(Phospho-Thr181)
-
货号:
P40105 -
别名:
MAPT; MTAPT; MTBT1; Neurofibrillary tangle protein; PHF-tau -
应用:
WB,IHC -
反应种属:
Human,Mouse,Rat -
抗体类型:
Primary antibody -
Swissprot:
P10636 -
规格:
-
数量:
-+ -
说明书:
目录价¥2180
Rabbit Polyclonal Antibody to Tau(Phospho-Thr181)
Description |
|---|
Promotes microtubule assembly and stability, and might be involved in the establishment and maintenance of neuronal polarity. The C-terminus binds axonal microtubules while the N-terminus binds neural plasma membrane components, suggesting that tau functions as a linker protein between both. Axonal polarity is predetermined by tau localization (in the neuronal cell) in the domain of the cell body defined by the centrosome. The short isoforms allow plasticity of the cytoskeleton whereas the longer isoforms may preferentially play a role in its stabilization. |
References |
|---|
| Puig B, et al.(2005) Acta Neuropathol (Berl). 110(3):261-268.P |
Specification |
|
|---|---|
| Aliases | MAPT; MTAPT; MTBT1; Neurofibrillary tangle protein; PHF-tau |
| Entrez GeneID | 4137; |
| Swissprot | P10636 |
| WB Predicted band size | 48 62 78 kDa |
| Host/Isotype | Rabbit IgG |
| Antibody Type | Primary antibody |
| Storage | Store at 4°C short term. Aliquot and store at -20°C long term. Avoid freeze/thaw cycles. |
| Species Reactivity | Human,Mouse,Rat |
| Immunogen | Peptide sequence around phosphorylation site of threonine 181 (P-K-T(p)-P-P) derived from Human Tau. |
| Formulation | Liquid in PBS containing 50% glycerol, 0.5% BSA and 0.02% sodium azide. |
Application |
|
|---|---|
| WB | 1/500-1/1000 |
| IHC | 1/50-1/100 |
Product Image
For Reseach Only
Application Key:WB - Western Blot | IHC - Immunohistochemistry | ICC - Immunocytochemistry | FCM - Flow Cytometry | ELISA - Enzyme-linked Immunosorbent Assay | IP - Immunoprecipitation
#P40105
相关产品

微信/QQ登录


首页
