提醒成功

搜索
Mouse Monoclonal Antibody to siglec15
-
货号:
32049 -
别名:
CD33L3; HsT1361; SIGLEC-15 -
应用:
WB,IHC,IF,FCM -
反应种属:
Human, Monkey -
抗体类型:
Primary antibody -
Swissprot:
Q6ZMC9 -
规格:
-
数量:
-+ -
说明书:
目录价¥2180

Mouse Monoclonal Antibody to siglec15
Description |
---|
SIGLEC15 (Sialic Acid Binding Ig Like Lectin 15) is a Protein Coding gene. Diseases associated with SIGLEC15 include Osteoporosis, Juvenile and Osteoporosis. Among its related pathways are Innate Immune System and RET signaling. An important paralog of this gene is SIGLEC1. |
References |
---|
1,J Biomed Sci. 2020 Jan 3;27(1):10. 2,Glycobiology. 2013 Feb;23(2):178-87. |
Specification |
|
---|---|
Aliases | CD33L3; HsT1361; SIGLEC-15 |
Entrez GeneID | 284266 |
Swissprot | Q6ZMC9 |
clone | 3C9C3 |
WB Predicted band size | 35.7kDa |
Host/Isotype | Mouse IgG1 |
Antibody Type | Primary antibody |
Storage | Store at 4°C short term. Aliquot and store at -20°C long term. Avoid freeze/thaw cycles. |
Species Reactivity | Human, Monkey |
Immunogen | Purified recombinant fragment of human Siglec15 (AA: Extra(20-263)) expressed in Mammal. |
Formulation | Purified antibody in PBS with 0.05% sodium azide |
Application |
|
---|---|
WB | 1/500 - 1/2000 |
IHC | 1/200 - 1/1000 |
IF/ICC | 1/200 - 1/1000 |
FCM | 1/200 - 1/400 |
ELISA | 1/10000 |
Product Image
- Black line: Control Antigen (100 ng);Purple line: Antigen (10ng); Blue line: Antigen (50 ng); Red line:Antigen (100 ng)
- Western blot analysis using Siglec15 mouse mAb against PC-2 (1), LNCap (2), HEK293 (3), PC-3 (4), DU145 (5), COS-7 (6), and HEK293-6e (7) cell lysate.
- Immunofluorescence analysis of Hela cells using Siglec15 mouse mAb (green). Blue: DRAQ5 fluorescent DNA dye. Red: Actin filaments have been labeled with Alexa Fluor- 555 phalloidin. Secondary antibody from Fisher (Cat#: 35503)
- Flow cytometric analysis of Jurkat cells using Siglec15 mouse mAb (green) and negative control (red).
- Flow cytometric analysis of THP-1 cells using Siglec15 mouse mAb (green) and negative control (red).
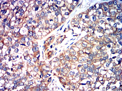
- Immunohistochemical analysis of paraffin-embedded human bladder cancer tissues using Siglec15 mouse mAb with DAB staining.
For Reseach Only
Application Key:WB - Western Blot | IHC - Immunohistochemistry | ICC - Immunocytochemistry | FCM - Flow Cytometry | ELISA - Enzyme-linked Immunosorbent Assay | IP - Immunoprecipitation
#32049

相关产品


