提醒成功

搜索
Rabbit Polyclonal Antibody to p53(Phospho-Ser15)
-
货号:
P40092 -
别名:
Tumor suppressor p53; Phosphoprotein p53; Antigen NY-CO-13; TP53; -
应用:
WB,IHC,IF,IP -
反应种属:
Human -
抗体类型:
Primary antibody -
Swissprot:
P04637 -
规格:
-
数量:
-+ -
说明书:
目录价¥2180

Rabbit Polyclonal Antibody to p53(Phospho-Ser15)
Description |
---|
Acts as a tumor suppressor in many tumor types; induces growth arrest or apoptosis depending on the physiological circumstances and cell type. Involved in cell cycle regulation as a trans-activator that acts to negatively regulate cell division by controlling a set of genes required for this process. One of the activated genes is an inhibitor of cyclin-dependent kinases. Apoptosis induction seems to be mediated either by stimulation of BAX and FAS antigen expression, or by repression of Bcl-2 expression. Implicated in Notch signaling cross-over. |
References |
---|
Lin T, et al. (2005) Nat Cell Biol; 7(2): 165-71. Vega FM, et al. (2004) Mol Cell Biol; 24(23): 10366-80. Li J, et al. (2004) J Biol Chem; 279(40): 41275-9. Wang J, et al. (2004) J Biol Chem; 279(38): 39584-92. |
Specification |
|
---|---|
Aliases | Tumor suppressor p53; Phosphoprotein p53; Antigen NY-CO-13; TP53; |
Entrez GeneID | 7157; |
Swissprot | P04637 |
WB Predicted band size | 53kDa |
Host/Isotype | Rabbit IgG |
Antibody Type | Primary antibody |
Storage | Store at 4°C short term. Aliquot and store at -20°C long term. Avoid freeze/thaw cycles. |
Species Reactivity | Human |
Immunogen | Peptide sequence around phosphorylation site of serine 15 (P-L-S(p)-Q-E) derived from Human p53. |
Formulation | Purified antibody in PBS with 0.05% sodium azide. |
Application |
|
---|---|
WB | 1/500-1/1000 |
IP | 1/20-1/50 |
IHC | 1/50-1/100 |
IF/ICC | 1/100-1/200 |
Product Image
- Western blot analysis of extracts from 293 cells untreated or treated with UV using p53(Phospho-Ser15) Antibody P40092.
- Immunofluorescence staining of methanol-fixed Hela cells using p53(Phospho-Ser15) Antibody P40092.
- Immunofluorescence staining of methanol-fixed Hela cells using p53 (Phospho-Ser15) Antibody P40092.
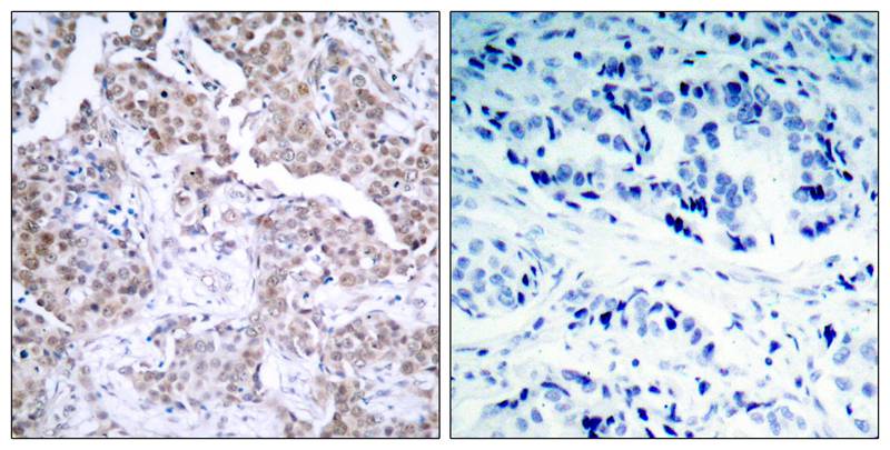
- Immunohistochemical analysis of paraffin-embedded human breast carcinoma tissue using p53 (Phospho-Ser15) Antibody P40092 (left) or the same antibody preincubated with blocking peptide (right).
For Reseach Only
Application Key:WB - Western Blot | IHC - Immunohistochemistry | ICC - Immunocytochemistry | FCM - Flow Cytometry | ELISA - Enzyme-linked Immunosorbent Assay | IP - Immunoprecipitation
#P40092

相关产品


