提醒成功

搜索
Rabbit Polyclonal Antibody to Paxillin(Phospho-Tyr118)
-
货号:
P40088 -
别名:
PAXI; PXN; -
应用:
WB,IHC -
反应种属:
Human,Mouse,Rat -
抗体类型:
Primary antibody -
Swissprot:
P49023 -
规格:
-
数量:
-+ -
说明书:
目录价¥2180

Rabbit Polyclonal Antibody to Paxillin(Phospho-Tyr118)
Description |
---|
Cytoskeletal protein involved in actin-membrane attachment at sites of cell adhesion to the extracellular matrix (focal adhesion). |
References |
---|
Tao WA, et al.(2005)Nat Methods.2(8): 591-598.Zhang Y, et al.(2005) Mol Cell Proteomics.4(9): 1240-1250.Sanders MA, et al.(2005)J Biol Chem.280(25): 23516-23522.Rush J, et al.(2004) Nat Biotechnol. 23(1): 94-101. |
Specification |
|
---|---|
Aliases | PAXI; PXN; |
Entrez GeneID | 5829; |
Swissprot | P49023 |
WB Predicted band size | 68kDa |
Host/Isotype | Rabbit IgG |
Antibody Type | Primary antibody |
Storage | Store at 4°C short term. Aliquot and store at -20°C long term. Avoid freeze/thaw cycles. |
Species Reactivity | Human,Mouse,Rat |
Immunogen | Peptide sequence around phosphorylation site of tyrosine 118 (H-V-Y(p)-S-F) derived from Human Paxillin. |
Formulation | Purified antibody in PBS with 0.05% sodium azide. |
Application |
|
---|---|
WB | 1/500-1/1000 |
IHC | 1/50-1/100 |
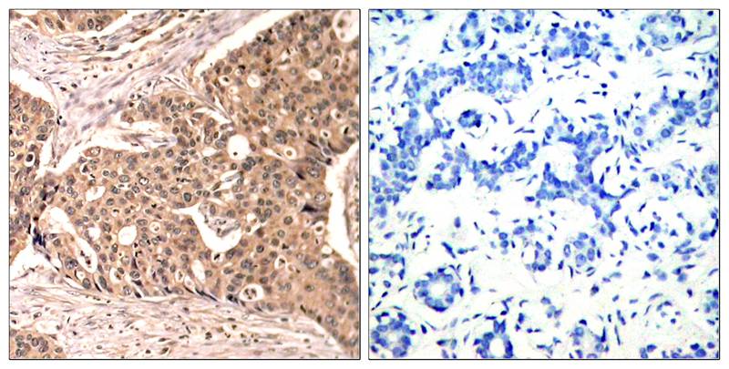
Product Image
- Western blot analysis of extracts from 3T3 cells untreated or treated with serum using Paxillin(Phospho-Tyr118) Antibody P40088.
- Immunohistochemical analysis of paraffin-embedded human breast carcinoma tissue using Paxillin(Phospho-Tyr118) Antibody P40088(left) or the same antibody preincubated with blocking peptide(right).
For Reseach Only
Application Key:WB - Western Blot | IHC - Immunohistochemistry | ICC - Immunocytochemistry | FCM - Flow Cytometry | ELISA - Enzyme-linked Immunosorbent Assay | IP - Immunoprecipitation
#P40088

相关产品


