提醒成功
搜索
Rabbit Polyclonal Antibody to EGFR(Phospho-Tyr1092)
-
货号:
P40080 -
别名:
ERBB1; Receptor protein-tyrosine kinase ErbB-1; kinase EGFR -
应用:
WB,IHC -
反应种属:
Human,Rat -
抗体类型:
Primary antibody -
Swissprot:
P00533 -
规格:
-
数量:
-+ -
说明书:
目录价¥2180
Rabbit Polyclonal Antibody to EGFR(Phospho-Tyr1092)
Description |
|---|
Receptor for EGF, but also for other members of the EGF family, as TGF-a, amphiregulin, betacellulin, heparin-binding EGF-like growth factor, GP30 and vaccinia virus growth factor. Is involved in the control of cell growth and differentiation. Phosphorylates MUC1 in breast cancer cells and increases the interaction of MUC1 with SRC and CTNNB1/beta-catenin. |
References |
|---|
| Buerger C, et al. (2003) J Biol Chem; 278(39): 37610-21.Wang XQ, (2003) J Biol Chem; 278(49): 48770-8.Saito T, et al. (2004) Endocrinology; 145(9): 4232-43.Pao W, et al. (2004) Proc Natl Acad Sci U S A; 101(36): 13306-11. |
Specification |
|
|---|---|
| Aliases | ERBB1; Receptor protein-tyrosine kinase ErbB-1; kinase EGFR |
| Entrez GeneID | 1956; |
| Swissprot | P00533 |
| WB Predicted band size | 175kDa |
| Host/Isotype | Rabbit IgG |
| Antibody Type | Primary antibody |
| Storage | Store at 4°C short term. Aliquot and store at -20°C long term. Avoid freeze/thaw cycles. |
| Species Reactivity | Human,Rat |
| Immunogen | Peptide sequence around phosphorylation site of tyrosine1092 (P-E-Y(p)-I-N) derived from Human EGFR. |
| Formulation | Liquid in PBS containing 50% glycerol, 0.5% BSA and 0.02% sodium azide. |
Application |
|
|---|---|
| WB | 1/500-1/1000 |
| IHC | 1/50-1/100 |
Product Image
- Western blot analysis of extracts from A431 cells untreated or treated with EGF using EGFR(Phospho-Tyr1092) Antibody P40080.
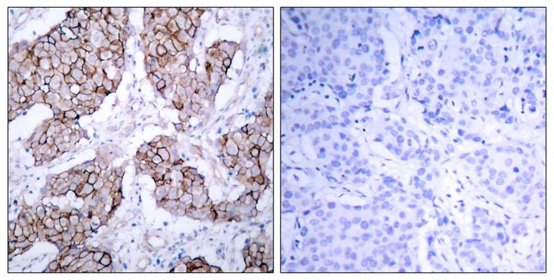
- Immunohistochemical analysis of paraffin-embedded human breast carcinoma tissue using EGFR(Phospho-Tyr1092) Antibody P40080(left) or the same antibody preincubated with blocking peptide(right).
For Reseach Only
Application Key:WB - Western Blot | IHC - Immunohistochemistry | ICC - Immunocytochemistry | FCM - Flow Cytometry | ELISA - Enzyme-linked Immunosorbent Assay | IP - Immunoprecipitation
#P40080
相关产品

微信/QQ登录


首页
