提醒成功
搜索
Rabbit Polyclonal Antibody to Estrogen Receptor-a(Phospho-Ser118)
-
货号:
P40071 -
别名:
ER; ESR; ESR1; ESTR; ESTRA -
应用:
WB,IHC,IF -
反应种属:
Human -
抗体类型:
Primary antibody -
Swissprot:
P03372 -
规格:
-
数量:
-+ -
说明书:
目录价¥2180
Rabbit Polyclonal Antibody to Estrogen Receptor-a(Phospho-Ser118)
Description |
|---|
Nuclear hormone receptor. The steroid hormones and their receptors are involved in the regulation of eukaryotic gene expression and affect cellular proliferation and differentiation in target tissues. |
References |
|---|
| Ramsauer VP, et al. (2003)J Biol Chem; 278(32): 30142-7. Jepson S, et al. (2002)Oncogene; 21(49): 7524-32. Ren Z, et al. (2002)J Biol Chem; 277(41): 38486-93. Eppenberger-Castori S, et al. (2001)J Clin Oncol; 19(3): 645-56. |
Specification |
|
|---|---|
| Aliases | ER; ESR; ESR1; ESTR; ESTRA |
| Entrez GeneID | 2099; |
| Swissprot | P03372 |
| WB Predicted band size | 66kDa |
| Host/Isotype | Rabbit IgG |
| Antibody Type | Primary antibody |
| Storage | Store at 4°C short term. Aliquot and store at -20°C long term. Avoid freeze/thaw cycles. |
| Species Reactivity | Human |
| Immunogen | Peptide sequence around phosphorylation site of serine 118 (Q-L-S(p)-P-F) derived from Human Estrogen Receptor-a. |
| Formulation | Liquid in PBS containing 50% glycerol, 0.5% BSA and 0.02% sodium azide. |
Application |
|
|---|---|
| WB | 1/500-1/1000 |
| IHC | 1/50-1/100 |
| IF/ICC | 1/100-1/200 |
Product Image
- Western blot analysis of extracts from MDA cells untreated or treated with Estradiol using Estrogen Receptor-a(Phospho-Ser118) Antibody P40071.
- Western blot analysis of extracts from COS7 cells, treated with starve or calf intestinal phosphatase (CIP), using Estrogen Receptor-α (Phospho-Ser118) Antibody P40071.
- Immunofluorescence staining of methanol-fixed MCF cells using Estrogen Receptor-a(Phospho-Ser118) Antibody P40071.
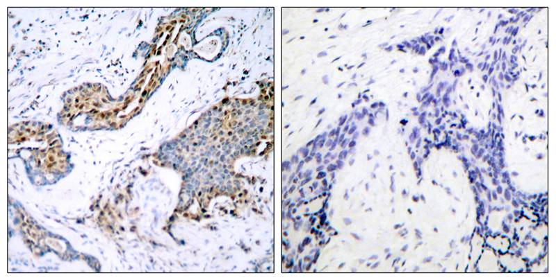
- Immunohistochemical analysis of paraffin-embedded human breast carcinoma tissue using Estrogen Receptor-a(Phospho-Ser118) Antibody P40071(left) or the same antibody preincubated with blocking peptide(right).
For Reseach Only
Application Key:WB - Western Blot | IHC - Immunohistochemistry | ICC - Immunocytochemistry | FCM - Flow Cytometry | ELISA - Enzyme-linked Immunosorbent Assay | IP - Immunoprecipitation
#P40071
相关产品

微信/QQ登录


首页
