提醒成功
搜索
Rabbit Polyclonal Antibody to Estrogen Receptor-a(Phospho-Ser104)
-
货号:
P40069 -
别名:
ER; ESR; ESR1; ESTR; ESTRA -
应用:
WB,IHC -
反应种属:
Human -
抗体类型:
Primary antibody -
Swissprot:
P03372 -
规格:
-
数量:
-+ -
说明书:
目录价¥2180
Rabbit Polyclonal Antibody to Estrogen Receptor-a(Phospho-Ser104)
Description |
|---|
Nuclear hormone receptor. The steroid hormones and their receptors are involved in the regulation of eukaryotic gene expression and affect cellular proliferation and differentiation in target tissues. |
References |
|---|
| Dittadi, R. et al. (2000) J. Natl. Cancer Inst. 92, 1443-1444.Muthuswamy, S. K. et al. (1999) Mol. Cell. Biol. 19, 6845-6857.Qian, X. et al. (1994) Proc. Natl. Acad. Sci. USA 91, 1500-1504.Kwon, Y. K. et al. (1997) J. Neurosci. 17, 8293-8299.Klapper, L. N. et al. (2000) Cancer Res. 60, 3384-3388. |
Specification |
|
|---|---|
| Aliases | ER; ESR; ESR1; ESTR; ESTRA |
| Entrez GeneID | 2099; |
| Swissprot | P03372 |
| WB Predicted band size | 66kDa |
| Host/Isotype | Rabbit IgG |
| Antibody Type | Primary antibody |
| Storage | Store at 4°C short term. Aliquot and store at -20°C long term. Avoid freeze/thaw cycles. |
| Species Reactivity | Human |
| Immunogen | Peptide sequence around phosphorylation site of serine 104 (S-V-S(p)-P-S) derived from Human Estrogen Receptor-a. |
| Formulation | Liquid in PBS containing 50% glycerol, 0.5% BSA and 0.02% sodium azide. |
Application |
|
|---|---|
| WB | 1/500-1/1000 |
| IHC | 1/50-1/100 |
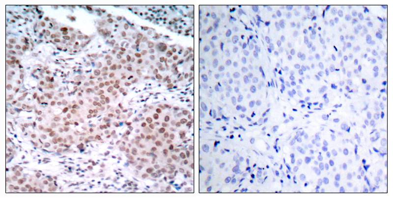
Product Image
- Western blot analysis of extracts from MCF-7 cells untreated or treated with E2 and EGF using Estrogen Receptor-a(Phospho-Ser104) Antibody P40069
- Immunohistochemical analysis of paraffin-embedded human breast carcinoma tissue using Estrogen Receptor-a(Phospho-Ser104) Antibody P40069(left) or the same antibody preincubated with blocking peptide(right).
For Reseach Only
Application Key:WB - Western Blot | IHC - Immunohistochemistry | ICC - Immunocytochemistry | FCM - Flow Cytometry | ELISA - Enzyme-linked Immunosorbent Assay | IP - Immunoprecipitation
#P40069
相关产品

微信/QQ登录


首页
