提醒成功
搜索
Rabbit Polyclonal Antibody to BAD(Phospho-Ser136)
-
货号:
P40067 -
别名:
Bbc2 -
应用:
WB,IHC -
反应种属:
Human,Mouse,Rat -
抗体类型:
Primary antibody -
Swissprot:
Q61337 -
规格:
-
数量:
-+ -
说明书:
目录价¥2180
Rabbit Polyclonal Antibody to BAD(Phospho-Ser136)
Description |
|---|
The protein encoded by BAD gene is a member of the BCL-2 family. BCL-2 family members are known to be regulators of programmed cell death. This protein positively regulates cell apoptosis by forming heterodimers with BCL-xL and BCL-2, and reversing their death repressor activity. Proapoptotic activity of this protein is regulated through its phosphorylation. Protein kinases AKT and MAP kinase, as well as protein phosphatase calcineurin were found to be involved in the regulation of this protein. Alternative splicing of this gene results in two transcript variants which encode the same isoform. |
References |
|---|
| Wang XQ, et al. (2001). J Biol Chem.276 (48): 44504-44511. Lee YI, et al. (2001). J Biol Chem.276 (20): 16969-16977. Maiti D, et al. (2001). J Biol Chem.276 (1): 329-333. |
Specification |
|
|---|---|
| Aliases | Bbc2 |
| Entrez GeneID | 12015; |
| Swissprot | Q61337 |
| WB Predicted band size | 23kDa |
| Host/Isotype | Rabbit IgG |
| Antibody Type | Primary antibody |
| Storage | Store at 4°C short term. Aliquot and store at -20°C long term. Avoid freeze/thaw cycles. |
| Species Reactivity | Human,Mouse,Rat |
| Immunogen | Peptide sequence around phosphorylation site of serine136 (S-R-S(p)-A-P) derived from Mouse BAD. |
| Formulation | Liquid in PBS containing 50% glycerol, 0.5% BSA and 0.02% sodium azide. |
Application |
|
|---|---|
| WB | 1/500-1/1000 |
| IHC | 1/50-1/100 |
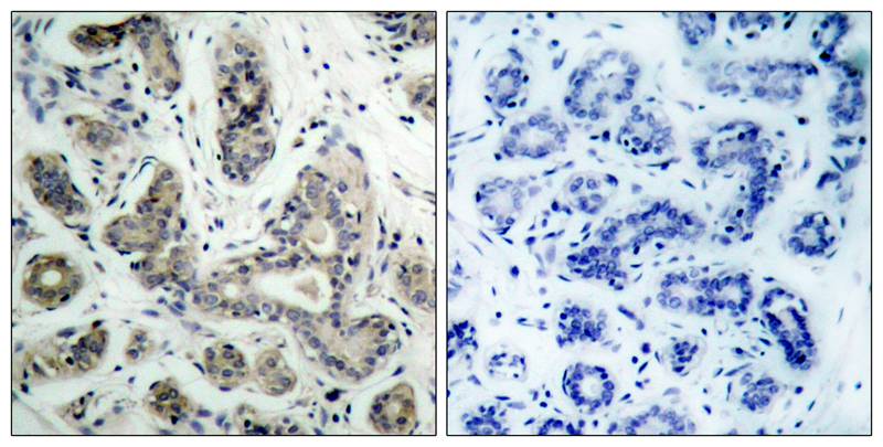
Product Image
- Western blot analysis of extracts from HT29 cells untreated or treated with UV using BAD(Phospho-Ser136) Antibody P40067.
- Immunohistochemical analysis of paraffin-embedded human breast carcinoma tissue using BAD(Phospho-Ser136) Antibody P40067(left) or the same antibody preincubated with blocking peptide(right).
For Reseach Only
Application Key:WB - Western Blot | IHC - Immunohistochemistry | ICC - Immunocytochemistry | FCM - Flow Cytometry | ELISA - Enzyme-linked Immunosorbent Assay | IP - Immunoprecipitation
#P40067
相关产品

微信/QQ登录


首页
