提醒成功
搜索
Rabbit Polyclonal Antibody to PTEN(Phospho-Ser370)
-
货号:
P40061 -
别名:
BZS; DEC; GLM2; MHAM; TEP1 -
应用:
WB,IHC,IF -
反应种属:
Human,Mouse,Rat -
抗体类型:
Primary antibody -
Swissprot:
P60484 -
规格:
-
数量:
-+ -
说明书:
目录价¥2180
Rabbit Polyclonal Antibody to PTEN(Phospho-Ser370)
Description |
|---|
Tumor suppressor. Acts as a dual-specificity protein phosphatase, dephosphorylating tyrosine-, serine- and threonine-phosphorylated proteins. Also acts as a lipid phosphatase, removing the phosphate in the D3 position of the inositol ring from phosphatidylinositol 3,4,5-trisphosphate, phosphatidylinositol 3,4-diphosphate, phosphatidylinositol 3-phosphate and inositol 1,3,4,5-tetrakisphosphate with order of substrate preference in vitro PtdIns(3,4,5)P3 > PtdIns(3,4)P2 > PtdIns3P > Ins(1,3,4,5)P4. The lipid phosphatase activity is critical for its tumor suppressor function. Antagonizes the PI3K-AKT/PKB signaling pathway by dephosphorylating phosphoinositides and thereby modulating cell cycle progression and cell survival. The unphosphorylated form cooperates with AIP1 to suppress AKT1 activation. Dephosphorylates tyrosine-phosphorylated focal adhesion kinase and inhibits cell migration and integrin-mediated cell spreading and focal adhesion formation. Plays a role as a key modulator of the AKT-mTOR signaling pathway controlling the tempo of the process of newborn neurons integration during adult neurogenesis, including correct neuron positioning, dendritic development and synapse formation. May be a negative regulator of insulin signaling and glucose metabolism in adipose tissue. The nuclear monoubiquitinated form possesses greater apoptotic potential, whereas the cytoplasmic nonubiquitinated form induces less tumor suppressive ability. |
References |
|---|
| Myers M.P., Pass I., Batty I.H., Van der Kaay J., Stolarov J.P., Hemmings B.A., Wigler M.H., Downes C.P., Tonks N.K.Proc. Natl. Acad. Sci. U.S.A. 95:13513-13518(1998) Song M.S., Salmena L., Carracedo A., Egia A., Lo-Coco F., Teruya-Feldstein J., Pandolfi P.P.Nature 455:813-817(2008) Scala S., Bruni P., Lo Muzio L., Mignogna M., Viglietto G., Fusco A.Int. J. Oncol. 13:665-668(1998) |
Specification |
|
|---|---|
| Aliases | BZS; DEC; GLM2; MHAM; TEP1 |
| Entrez GeneID | 5728; |
| Swissprot | P60484 |
| WB Predicted band size | 54kDa |
| Host/Isotype | Rabbit IgG |
| Antibody Type | Primary antibody |
| Storage | Store at 4°C short term. Aliquot and store at -20°C long term. Avoid freeze/thaw cycles. |
| Species Reactivity | Human,Mouse,Rat |
| Immunogen | Peptide sequence around phosphorylation site of serine 370(D-V-S(p)-D-N) derived from Human PTEN. |
| Formulation | Liquid in PBS containing 50% glycerol, 0.5% BSA and 0.02% sodium azide. |
Application |
|
|---|---|
| WB | 1/500-1/1000 |
| IHC | 1/50-1/100 |
| IF/ICC | 1/100-1/200 |
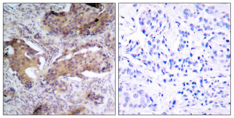
Product Image
- Western blot analysis of extracts from HeLa cells using PTEN (phospho-Ser370) antibody (P40061).
- Immunofluorescence staining of methanol-fixed MCF7 cells using PTEN (phospho-Ser370) antibody (P40061, Red).
- Immunohistochemical analysis of paraffin- embedded human breast carcinoma tissue using PTEN (phospho-Ser370) antibody (P40061).
For Reseach Only
Application Key:WB - Western Blot | IHC - Immunohistochemistry | ICC - Immunocytochemistry | FCM - Flow Cytometry | ELISA - Enzyme-linked Immunosorbent Assay | IP - Immunoprecipitation
#P40061
相关产品

微信/QQ登录


首页
