提醒成功
搜索
Rabbit Polyclonal Antibody to Akt(Phospho-Thr308)
-
货号:
P40055 -
别名:
C-AKT; PKB; PKB-alpha; RAC; RAC-PK-alpha -
应用:
WB,IHC,IF -
反应种属:
Human,Mouse,Rat -
抗体类型:
Primary antibody -
Swissprot:
P31749 -
规格:
-
数量:
-+ -
说明书:
目录价¥2180
Rabbit Polyclonal Antibody to Akt(Phospho-Thr308)
Description |
|---|
General protein kinase capable of phosphorylating several known proteins. Phosphorylates TBC1D4. Signals downstream of phosphatidylinositol 3-kinase (PI3K) to mediate the effects of various growth factors such as platelet-derived growth factor (PDGF), epidermal growth factor (EGF), insulin and insulin-like growth factor I (IGF-I). Plays a role in glucose transport by mediating insulin-induced translocation of the GLUT4 glucose transporter to the cell surface. Mediates the antiapoptotic effects of IGF-I. Mediates insulin-stimulated protein synthesis by phosphorylating TSC2 at 'Ser-939' and 'Thr-1462', thereby activating mTORC1 signaling and leading to both phosphorylation of 4E-BP1 and in activation of RPS6KB1. Promotes glycogen synthesis by mediating the insulin-induced activation of glycogen synthase. |
References |
|---|
| Tremblay F, et al. (2005)Diabetes; 54(9): 2674-84. Xu BE, et al. (2005)J Biol Chem; 280(40): 34218-23. Samuels Y, et al. (2005)Cancer Cell; 7(6): 561-73. Di Maira G, et al. (2005)Cell Death Differ; 12(6): 668-77. |
Specification |
|
|---|---|
| Aliases | C-AKT; PKB; PKB-alpha; RAC; RAC-PK-alpha |
| Entrez GeneID | 207; |
| Swissprot | P31749 |
| WB Predicted band size | 60kDa |
| Host/Isotype | Rabbit IgG |
| Antibody Type | Primary antibody |
| Storage | Store at 4°C short term. Aliquot and store at -20°C long term. Avoid freeze/thaw cycles. |
| Species Reactivity | Human,Mouse,Rat |
| Immunogen | Peptide sequence around phosphorylation site of threonine 308 (M-K-T(p)-F-C) derived from Human Akt. |
| Formulation | Liquid in PBS containing 50% glycerol, 0.5% BSA and 0.02% sodium azide. |
Application |
|
|---|---|
| WB | 1/500-1/1000 |
| IHC | 1/50-1/100 |
| IF/ICC | 1/100-1/200 |
Product Image
- Western blot analysis of extracts from Hela cells untreated or treated with EGF, serum or both using Akt(Phospho-Thr308) Antibody P40055.
- Immunofluorescence staining of methanol-fixed Hela cells showing nuclear dot staining using Akt(Phospho-Thr308) Antibody P40055.
- Immunofluorescence staining of methanol-fixed Hela cells showing nuclear dot staining using Akt (Phospho-Thr308) Antibody P40055.
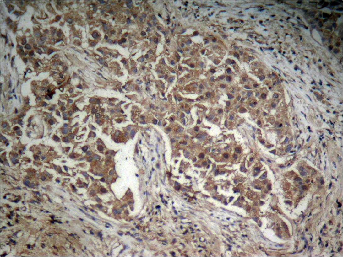
- Immunohistochemical analysis of paraffin-embedded human lung carcinoma tissue, using Akt (Phospho-Thr308) Antibody P40055 (left) or the same antibody preincubated with blocking peptide (right).
- Immunohistochemical analysis of paraffin-embedded human lung carcinoma tissue, using Akt (Phospho-Thr308) Antibody P40055.
For Reseach Only
Application Key:WB - Western Blot | IHC - Immunohistochemistry | ICC - Immunocytochemistry | FCM - Flow Cytometry | ELISA - Enzyme-linked Immunosorbent Assay | IP - Immunoprecipitation
#P40055
相关产品

微信/QQ登录


首页
