提醒成功
搜索
Rabbit Polyclonal Antibody to Akt(Phospho-Ser473)
-
货号:
P40054 -
别名:
C-AKT; PKB; PKB-alpha; RAC; RAC-PK-alpha;akt s473;akt 473;akt ser473 antibody -
应用:
WB,IHC,IF -
反应种属:
Human,Mouse,Rat -
抗体类型:
Primary antibody -
Swissprot:
P31749 -
规格:
-
数量:
-+ -
说明书:
目录价¥2180
Rabbit Polyclonal Antibody to Akt(Phospho-Ser473)
Description |
|---|
General protein kinase capable of phosphorylating several known proteins. Phosphorylates TBC1D4. Signals downstream of phosphatidylinositol 3-kinase (PI3K) to mediate the effects of various growth factors such as platelet-derived growth factor (PDGF), epidermal growth factor (EGF), insulin and insulin-like growth factor I (IGF-I). Plays a role in glucose transport by mediating insulin-induced translocation of the GLUT4 glucose transporter to the cell surface. Mediates the antiapoptotic effects of IGF-I. Mediates insulin-stimulated protein synthesis by phosphorylating TSC2 at 'Ser-939' and 'Thr-1462', thereby activating mTORC1 signaling and leading to both phosphorylation of 4E-BP1 and in activation of RPS6KB1. Promotes glycogen synthesis by mediating the insulin-induced activation of glycogen synthase. |
References |
|---|
| Baudhuin LM, et al. (2004) FASEB J Feb; 18(2): 341-3. Min YH, et al. (2004) Cancer Res; 64(15): 5225-31. Feng J, et al. (2004) J Biol Chem; 279(34): 35510-7. |
Specification |
|
|---|---|
| Aliases | C-AKT; PKB; PKB-alpha; RAC; RAC-PK-alpha;akt s473;akt 473;akt ser473 antibody |
| Entrez GeneID | 207; |
| Swissprot | P31749 |
| WB Predicted band size | 60kDa |
| Host/Isotype | Rabbit IgG |
| Antibody Type | Primary antibody |
| Storage | Store at 4°C short term. Aliquot and store at -20°C long term. Avoid freeze/thaw cycles. |
| Species Reactivity | Human,Mouse,Rat |
| Immunogen | Peptide sequence around phosphorylation site of serine 473 (Q-F-S(p)-Y-S) derived from Human Akt. |
| Formulation | Liquid in PBS containing 50% glycerol, 0.5% BSA and 0.02% sodium azide. |
Application |
|
|---|---|
| WB | 1/500-1/1000 |
| IHC | 1/50-1/100 |
| IF/ICC | 1/100-1/200 |
Product Image
- Western blot analysis of extracts from 293 cells, treatedwith EGF or calf intestinal phosphatase (CIP), using Akt(Phospho-Ser473) Antibody P40054.
- Western blot analysis of extracts from SK-BR-3 cells,treated with insulin and EGF, and pretreated with U0126and LY294002 cells using Akt (Phospho-Ser473) AntibodyP40054.
- Western blot analysis of extracts of various cell lines, using Akt(Phospho-Ser473) P40054
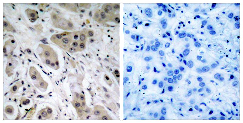
- Immunohistochemical analysis of paraffin-embedded human breast carcinoma tissue using Akt(Phospho-Ser473) Antibody P40054(left) or the same antibody preincubated with blocking peptide(right).
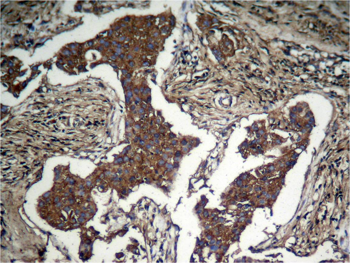
- Immunohistochemical analysis of paraffinembeddedhuman Lung carcinoma tissue usingAkt (Phospho-Ser473) Antibody P40054.
For Reseach Only
Application Key:WB - Western Blot | IHC - Immunohistochemistry | ICC - Immunocytochemistry | FCM - Flow Cytometry | ELISA - Enzyme-linked Immunosorbent Assay | IP - Immunoprecipitation
#P40054
相关产品

微信/QQ登录


首页
