提醒成功
搜索
Rabbit Polyclonal Antibody to ATF4(Phospho-Ser245)
-
货号:
P40053 -
别名:
C/ATF; C/EBP-related ATF; CREB2 -
应用:
WB,IHC -
反应种属:
Human -
抗体类型:
Primary antibody -
Swissprot:
P18848 -
规格:
-
数量:
-+ -
说明书:
目录价¥2180
Rabbit Polyclonal Antibody to ATF4(Phospho-Ser245)
Description |
|---|
ATF4 encodes a transcription factor that was originally identified as a widely expressed mammalian DNA binding protein that could bind a tax-responsive enhancer element in the LTR of HTLV-1. The encoded protein was also isolated and characterized as the cAMP-response element binding protein 2 (CREB-2). The protein encoded by this gene belongs to a family of DNA-binding proteins that includes the AP-1 family of transcription factors, cAMP-response element binding proteins (CREBs) and CREB-like proteins. These transcription factors share a leucine zipper region that is involved in protein-protein interactions, located C-terminal to a stretch of basic amino acids that functions as a DNA binding domain. Two alternative transcripts encoding the same protein have been described. Two pseudogenes are located on the X chromsome at q28 in a region containing a large inverted duplication. |
References |
|---|
| Yang X, et al. (2004). Cell.117(3): 387-398. |
Specification |
|
|---|---|
| Aliases | C/ATF; C/EBP-related ATF; CREB2 |
| Entrez GeneID | 468; |
| Swissprot | P18848 |
| WB Predicted band size | 45kDa |
| Host/Isotype | Rabbit IgG |
| Antibody Type | Primary antibody |
| Storage | Store at 4°C short term. Aliquot and store at -20°C long term. Avoid freeze/thaw cycles. |
| Species Reactivity | Human |
| Immunogen | Peptide sequence around phosphorylation site of serine 245 (N-R-S(p)-L-P) derived from Human ATF4. |
| Formulation | Liquid in PBS containing 50% glycerol, 0.5% BSA and 0.02% sodium azide. |
Application |
|
|---|---|
| WB | 1/500-1/1000 |
| IHC | 1/50-1/100 |
Product Image
- Western blot analysis of extracts from Hela cells untreated or treated with UV using ATF4(Phospho-Ser245) Antibody P40053.
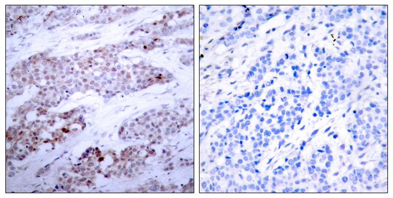
- Immunohistochemical analysis of paraffin-embedded human breast carcinoma tissue using ATF4(Phospho-Ser245) Antibody P40053(left) or the same antibody preincubated with blocking peptide(right).
For Reseach Only
Application Key:WB - Western Blot | IHC - Immunohistochemistry | ICC - Immunocytochemistry | FCM - Flow Cytometry | ELISA - Enzyme-linked Immunosorbent Assay | IP - Immunoprecipitation
#P40053
相关产品

微信/QQ登录


首页
