提醒成功
搜索
Rabbit Polyclonal Antibody to STAT6(Phospho-Thr645)
-
货号:
P40051 -
别名:
IL-4-STAT; STAT6B; STAT6C -
应用:
WB,IHC -
反应种属:
Human -
抗体类型:
Primary antibody -
Swissprot:
P42226 -
规格:
-
数量:
-+ -
说明书:
目录价¥2180
Rabbit Polyclonal Antibody to STAT6(Phospho-Thr645)
Description |
|---|
Carries out a dual function: signal transduction and activation of transcription. Involved in interleukin-4 signalling. |
References |
|---|
| Nelms K, et al. (1999) Annu Rev Immunol. 17:701-738. Malabarba M G, et al. (1996) Biochem. J. 319:865-872. Hou J, et al. (1994) Science. 265:1701-1706. Quelle F W, et al. (1995) Mol Cell Biol. 15: 3336-3343. Takeda K, et al. (1996) Nature. 380: 627-630. |
Specification |
|
|---|---|
| Aliases | IL-4-STAT; STAT6B; STAT6C |
| Entrez GeneID | 6778; |
| Swissprot | P42226 |
| WB Predicted band size | 110kDa |
| Host/Isotype | Rabbit IgG |
| Antibody Type | Primary antibody |
| Storage | Store at 4°C short term. Aliquot and store at -20°C long term. Avoid freeze/thaw cycles. |
| Species Reactivity | Human |
| Immunogen | Peptide sequence around phosphorylation site of threonine 645 (P-A-T(p)-I-K) derived from Human STAT6. |
| Formulation | Liquid in PBS containing 50% glycerol, 0.5% BSA and 0.02% sodium azide. |
Application |
|
|---|---|
| WB | 1/500-1/1000 |
| IHC | 1/50-1/100 |
Product Image
- Western blot analysis of extracts from Hela cells, treated with IL-4 or calf intestinal phosphatase (CIP), using STAT6 (Phospho-Thr645) Antibody P40051.
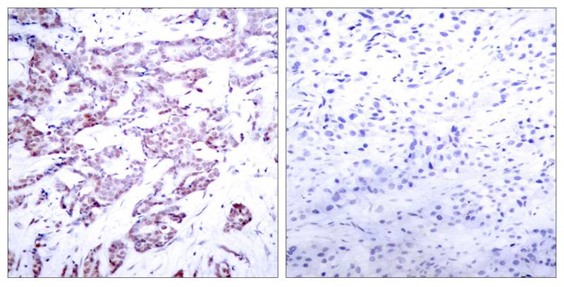
- Immunohistochemical analysis of paraffin-embedded human breast carcinoma tissue using STAT6(Phospho-Thr645) Antibody P40051(left) or the same antibody preincubated with blocking peptide(right).
For Reseach Only
Application Key:WB - Western Blot | IHC - Immunohistochemistry | ICC - Immunocytochemistry | FCM - Flow Cytometry | ELISA - Enzyme-linked Immunosorbent Assay | IP - Immunoprecipitation
#P40051
相关产品

微信/QQ登录


首页
