提醒成功
搜索
Rabbit Polyclonal Antibody to STAT5a(Phospho-Ser780)
-
货号:
P40049 -
别名:
MGF; MPF; Mammary gland factor; STA5A,; STAT5 -
应用:
WB,IHC -
反应种属:
Human,Mouse,Rat -
抗体类型:
Primary antibody -
Swissprot:
P42229 -
规格:
-
数量:
-+ -
说明书:
目录价¥2180
Rabbit Polyclonal Antibody to STAT5a(Phospho-Ser780)
Description |
|---|
Carries out a dual function: signal transduction and activation of transcription. Binds to the GAS element and activates PRL-induced transcription. |
References |
|---|
| Gouilleux F, et al. (1994) EMBO J. 13: 4361-4369.Dentelli P, et al. (1999) J Immunol. 163: 2151-2159.Meinke A, et al. (1996) Mol Cell Biol. 16: 6937-6944. |
Specification |
|
|---|---|
| Aliases | MGF; MPF; Mammary gland factor; STA5A,; STAT5 |
| Entrez GeneID | 6776; |
| Swissprot | P42229 |
| WB Predicted band size | 90kDa |
| Host/Isotype | Rabbit IgG |
| Antibody Type | Primary antibody |
| Storage | Store at 4°C short term. Aliquot and store at -20°C long term. Avoid freeze/thaw cycles. |
| Species Reactivity | Human,Mouse,Rat |
| Immunogen | Peptide sequence around phosphorylation site of serine 780 (R-L-S(p)-P-P) derived from Human STAT5A. |
| Formulation | Liquid in PBS containing 50% glycerol, 0.5% BSA and 0.02% sodium azide. |
Application |
|
|---|---|
| WB | 1/500-1/1000 |
| IHC | 1/50-1/100 |
Product Image
- Western blot analysis of extracts from K562 cells untreated or treated with IL-4 using STAT5A(Phospho-Ser780) Antibody P40049.
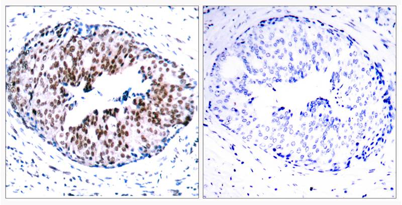
- Immunohistochemical analysis of paraffin-embedded human breast carcinoma tissue using STAT5A(Phospho-Ser780) Antibody P40049(left) or the same antibody preincubated with blocking peptide(right).
For Reseach Only
Application Key:WB - Western Blot | IHC - Immunohistochemistry | ICC - Immunocytochemistry | FCM - Flow Cytometry | ELISA - Enzyme-linked Immunosorbent Assay | IP - Immunoprecipitation
#P40049
相关产品

微信/QQ登录


首页
