提醒成功
搜索
Rabbit Polyclonal Antibody to STAT3(Phospho-Ser727)
-
货号:
P40046 -
别名:
APRF, HIES -
应用:
WB,IHC,IF -
反应种属:
Human,Mouse,Rat -
抗体类型:
Primary antibody -
Swissprot:
P40763 -
规格:
-
数量:
-+ -
说明书:
目录价¥2180
Rabbit Polyclonal Antibody to STAT3(Phospho-Ser727)
Description |
|---|
Transcription factor that binds to the interleukin-6 (IL-6)-responsive elements identified in the promoters of various acute-phase protein genes. Activated by IL31 through IL31RA. |
References |
|---|
| Heim M H, (1999) J Recept Signal Transduct Res. 19: 75-120. Takeda K, et al. (1997) Proc Natl Acad Sci USA. 94: 3801-3804. Catlett-Falcone R, et al. (1999) Immunity. 10: 105-115. Garcia R, et al. (1998) J Biomed Sci. 5: 79-85. Bromberg J F, et al. (1999) Cell. 98: 295-303. |
Specification |
|
|---|---|
| Aliases | APRF, HIES |
| Entrez GeneID | 6774; |
| Swissprot | P40763 |
| WB Predicted band size | 88kDa |
| Host/Isotype | Rabbit IgG |
| Antibody Type | Primary antibody |
| Storage | Store at 4°C short term. Aliquot and store at -20°C long term. Avoid freeze/thaw cycles. |
| Species Reactivity | Human,Mouse,Rat |
| Immunogen | Peptide sequence around phosphorylation site of serine 727 (P-M-S(p)-P-R) derived from Human STAT3. |
| Formulation | Liquid in PBS containing 50% glycerol, 0.5% BSA and 0.02% sodium azide. |
Application |
|
|---|---|
| WB | 1/500-1/1000 |
| IHC | 1/50-1/100 |
| IF/ICC | 1/100-1/200 |
Product Image
- Western blot analysis of extracts from Hela and HepG2 cells untreated or treated with PMA usingSTAT3(Phospho-Ser727) Antibody P40046.
- Western blot analysis of extracts from Hela cells, treated with IFNa or calf intestinal phosphatase (CIP), using STAT3 (Phospho-Ser727) Antibody P40046.
- Immunofluorescence staining of methanol-fixed Hela cells using STAT3(Phospho-Ser727) Antibody P40046.
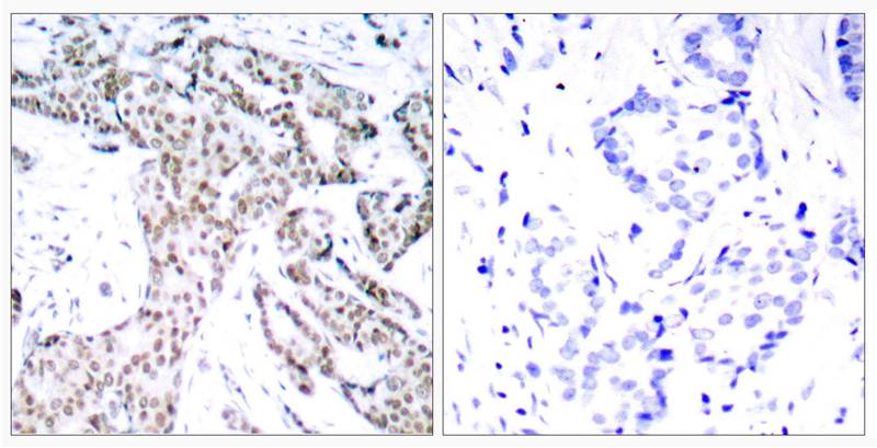
- Immunohistochemical analysis of paraffin-embedded human breast carcinoma tissue using STAT3(Phospho-Ser727) Antibody P40046(left) or the same antibody preincubated with blocking peptide(right).
For Reseach Only
Application Key:WB - Western Blot | IHC - Immunohistochemistry | ICC - Immunocytochemistry | FCM - Flow Cytometry | ELISA - Enzyme-linked Immunosorbent Assay | IP - Immunoprecipitation
#P40046
相关产品

微信/QQ登录


首页
