提醒成功
搜索
Rabbit Polyclonal Antibody to Elk1(Phospho-Ser389)
-
货号:
P40037 -
别名:
ELK1; ETS-domain protein Elk-1; -
应用:
WB,IHC -
反应种属:
Human,Mouse,Rat -
抗体类型:
Primary antibody -
Swissprot:
P19419 -
规格:
-
数量:
-+ -
说明书:
目录价¥2180
Rabbit Polyclonal Antibody to Elk1(Phospho-Ser389)
Description |
|---|
Elk-1 is a member of the Ets family of transcription factors and of the ternary complex factor (TCF) subfamily. Proteins of the TCF subfamily form a ternary complex by binding to the the serum response factor and the serum reponse element in the promoter of the c-fos proto-oncogene. The protein encoded by this gene is a nuclear target for the ras-raf-MAPK signaling cascade. Alternatively spliced transcript variants encoding the same protein have been found for this gene |
References |
|---|
| Janknecht R, et al. (1993) EMBO J. 12(13): 5097-5104. Marais R, et al. (1993) Cell 73:381-393. Kortenjann M, et al. (1994) Mol Cell Biol. 14:4815-4824. Hill C S, et al. (1995) Cell. 80:199-211. Cavigelli M, et al. (1995) EMBO J. 14:5957-5964. |
Specification |
|
|---|---|
| Aliases | ELK1; ETS-domain protein Elk-1; |
| Entrez GeneID | 2002; |
| Swissprot | P19419 |
| WB Predicted band size | 45kDa |
| Host/Isotype | Rabbit IgG |
| Antibody Type | Primary antibody |
| Storage | Store at 4°C short term. Aliquot and store at -20°C long term. Avoid freeze/thaw cycles. |
| Species Reactivity | Human,Mouse,Rat |
| Immunogen | Peptide sequence around phosphorylation site of serine 389 (P-R-S(p)-P-A) derived from Human Elk-1. |
| Formulation | Liquid in PBS containing 50% glycerol, 0.5% BSA and 0.02% sodium azide. |
Application |
|
|---|---|
| WB | 1/500-1/1000 |
| IHC | 1/50-1/100 |
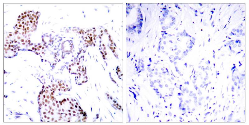
Product Image
- Western blot analysis of extracts from HT29 cells untreated or treated with Anisomycin using Elk1(Phospho-Ser389) Antibody P40037.
- Immunohistochemical analysis of paraffin-embedded human breast carcinoma tissue using Elk1(Phospho-Ser389) Antibody P40037(left) or the same antibody preincubated with blocking peptide(right).
For Reseach Only
Application Key:WB - Western Blot | IHC - Immunohistochemistry | ICC - Immunocytochemistry | FCM - Flow Cytometry | ELISA - Enzyme-linked Immunosorbent Assay | IP - Immunoprecipitation
#P40037
相关产品

微信/QQ登录


首页
