提醒成功
搜索
Rabbit Polyclonal Antibody to ATF2(Phospho-Ser112 or 94)
-
货号:
P40033 -
别名:
CREB2; CREBP1; -
应用:
WB,IHC -
反应种属:
Human,Mouse,Rat -
抗体类型:
Primary antibody -
Swissprot:
P15336 -
规格:
-
数量:
-+ -
说明书:
目录价¥2180
Rabbit Polyclonal Antibody to ATF2(Phospho-Ser112 or 94)
Description |
|---|
Transcriptional activator, probably constitutive, which binds to the cAMP-responsive element (CRE) (consensus: 5'-GTGACGT[AC][AG]-3'), a sequence present in many viral and cellular promoters. Interaction with JUN redirects JUN to bind to CRES preferentially over the 12-O-tetradecanoylphorbol-13-acetate response elements (TRES) as part of an ATF2-c-Jun complex. |
References |
|---|
| Beausoleil S A, et al. (2004) Proc Natl Acad Sci U S A. 101(33): 12130-12135.Abdel-Hafiz H A, et al. (1992) Mol Endocrinol. 6: 2079-2089.Gupta S, et al. (1995) Science. 267: 389-393.van Dam H, et al. (1995) EMBO J. 14(8): 1798-1811.Livingstone C, et al. (1995) EMBO J. 14: 1785-1797. |
Specification |
|
|---|---|
| Aliases | CREB2; CREBP1; |
| Entrez GeneID | 1386; |
| Swissprot | P15336 |
| WB Predicted band size | 65-75 kDa |
| Host/Isotype | Rabbit IgG |
| Antibody Type | Primary antibody |
| Storage | Store at 4°C short term. Aliquot and store at -20°C long term. Avoid freeze/thaw cycles. |
| Species Reactivity | Human,Mouse,Rat |
| Immunogen | Peptide sequence around phosphorylation site of serine 112 or 94 (D-L-S(p)-P-L) derived from Human ATF2. |
| Formulation | Liquid in PBS containing 50% glycerol, 0.5% BSA and 0.02% sodium azide. |
Application |
|
|---|---|
| WB | 1/500-1/1000 |
| IHC | 1/50-1/100 |
Product Image
- Western blot analysis of extracts from Huvec cells untreated or treated with Anisomycin using ATF2(Phospho-Ser112 or 94) Antibody P40033.
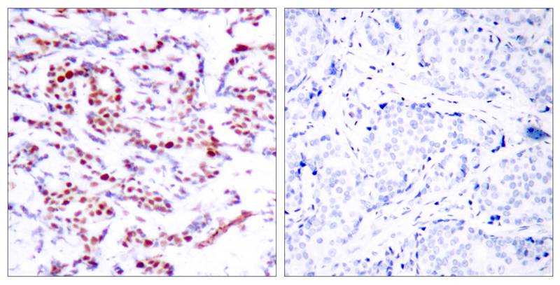
- Immunohistochemical analysis of paraffin-embedded human breast carcinoma tissue using ATF2(Phospho-Ser112 or 94) Antibody P40033(left) or the same antibody preincubated with blocking peptide(right).
For Reseach Only
Application Key:WB - Western Blot | IHC - Immunohistochemistry | ICC - Immunocytochemistry | FCM - Flow Cytometry | ELISA - Enzyme-linked Immunosorbent Assay | IP - Immunoprecipitation
#P40033
相关产品

微信/QQ登录


首页
