提醒成功
搜索
Rabbit Polyclonal Antibody to ATF2(Phospho-Thr73 or 55)
-
货号:
P40032 -
别名:
CREB2; CREBP1; -
应用:
WB,IHC,IF -
反应种属:
Human,Mouse,Rat Monkey -
抗体类型:
Primary antibody -
Swissprot:
P15336 -
规格:
-
数量:
-+ -
说明书:
目录价¥2180
Rabbit Polyclonal Antibody to ATF2(Phospho-Thr73 or 55)
Description |
|---|
Transcriptional activator, probably constitutive, which binds to the cAMP-responsive element (CRE) (consensus: 5'-GTGACGT[AC][AG]-3'), a sequence present in many viral and cellular promoters. Interaction with JUN redirects JUN to bind to CRES preferentially over the 12-O-tetradecanoylphorbol-13-acetate response elements (TRES) as part of an ATF2-c-Jun complex. |
References |
|---|
| Beausoleil S A, et al. (2004) Proc Natl Acad Sci U S A. 101(33): 12130-12135. Abdel-Hafiz H A, et al. (1992) Mol Endocrinol. 6: 2079-2089. Gupta S, et al. (1995) Science. 267: 389-393. Van Dam H, et al. (1995) EMBO J. 14(8): 1798-1811. Livingstone C, et al. (1995) EMBO J. 14: 1785-1797. |
Specification |
|
|---|---|
| Aliases | CREB2; CREBP1; |
| Entrez GeneID | 1386; |
| Swissprot | P15336 |
| WB Predicted band size | 65-75 kDa |
| Host/Isotype | Rabbit IgG |
| Antibody Type | Primary antibody |
| Storage | Store at 4°C short term. Aliquot and store at -20°C long term. Avoid freeze/thaw cycles. |
| Species Reactivity | Human,Mouse,Rat Monkey |
| Immunogen | Peptide sequence around phosphorylation site of threonine 73 or 55 (T-P-T(p)-R-F) derived from Human ATF2. |
| Formulation | Liquid in PBS containing 50% glycerol, 0.5% BSA and 0.02% sodium azide. |
Application |
|
|---|---|
| WB | 1/500-1/1000 |
| IHC | 1/50-1/100 |
| IF/ICC | 1/100-1/200 |
Product Image
- Western blot analysis of extracts from HepG2 cells untreated or treated with EGF using ATF2(Phospho-Thr71 or 53) Antibody P40032.
- Western blot analysis of extracts from COS7 cells, treated with UV or calf intestinal phosphatase (CIP), using ATF2 (Phospho-Thr73 or 55) Antibody P40032.
- Immunofluorescence staining of methanol-fixed Hela cells using ATF2(Phospho-Thr73 or 55) Antibody P40032.
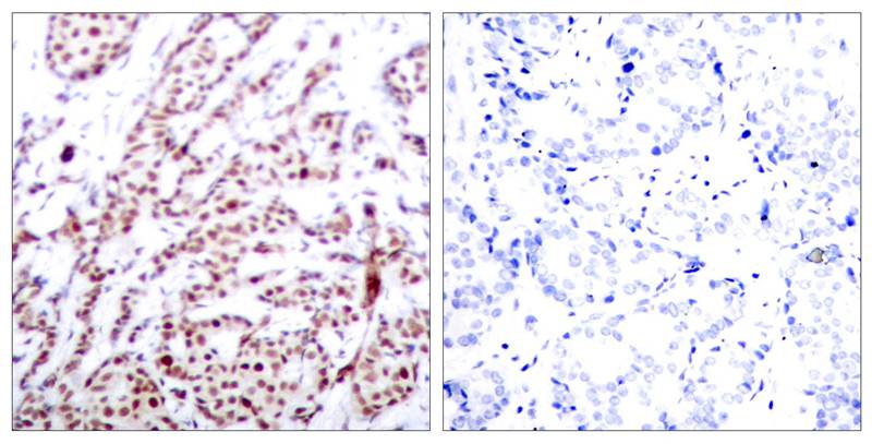
- Immunohistochemical analysis of paraffin-embedded human breast carcinoma tissue using ATF2(Phospho-Thr73 or 55) Antibody P40032(left) or the same antibody preincubated with blocking peptide(right).
For Reseach Only
Application Key:WB - Western Blot | IHC - Immunohistochemistry | ICC - Immunocytochemistry | FCM - Flow Cytometry | ELISA - Enzyme-linked Immunosorbent Assay | IP - Immunoprecipitation
#P40032
相关产品

微信/QQ登录


首页
