提醒成功
搜索
Rabbit Polyclonal Antibody to JunD(Phospho-Ser255)
-
货号:
P40028 -
别名:
AP-1 -
应用:
WB,IHC -
反应种属:
Human,Mouse,Rat -
抗体类型:
Primary antibody -
Swissprot:
P17535 -
规格:
-
数量:
-+ -
说明书:
目录价¥2180
Rabbit Polyclonal Antibody to JunD(Phospho-Ser255)
Description |
|---|
Binds an AP-1 site and upon cotransfection stimulates the activity of a promoter that bears an AP-1 site. |
References |
|---|
| Beausoleil S A, et al. (2004) Proc Natl Acad Sci U S A. 101(33): 12130-12135. |
Specification |
|
|---|---|
| Aliases | AP-1 |
| Entrez GeneID | 3727; |
| Swissprot | P17535 |
| WB Predicted band size | 38kDa |
| Host/Isotype | Rabbit IgG |
| Antibody Type | Primary antibody |
| Storage | Store at 4°C short term. Aliquot and store at -20°C long term. Avoid freeze/thaw cycles. |
| Species Reactivity | Human,Mouse,Rat |
| Immunogen | Peptide sequence around phosphorylation site of serine 255 (G-E-S(p)-P-P) derived from Human JunD. |
| Formulation | Liquid in PBS containing 50% glycerol, 0.5% BSA and 0.02% sodium azide. |
Application |
|
|---|---|
| WB | 1/500-1/1000 |
| IHC | 1/50-1/100 |
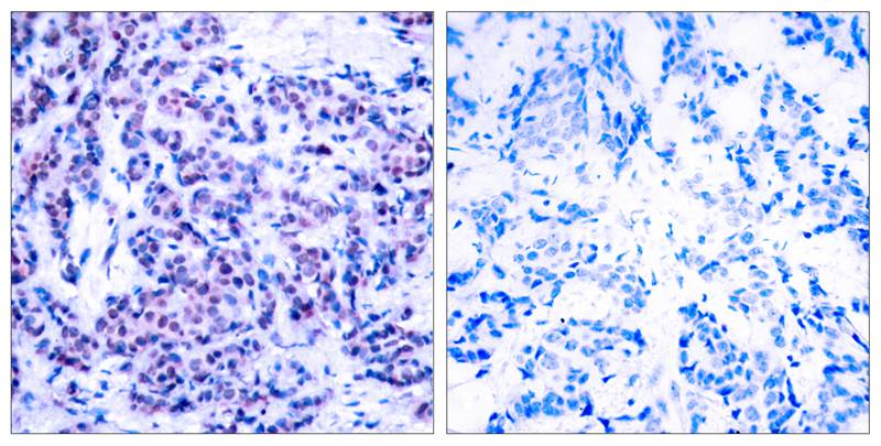
Product Image
- Western blot analysis of extracts from 293 cells using JunD(Phospho-Ser255) Antibody P40028(Lane 2) and the same antibody preincubated with blocking peptide(Lane1).
- Immunohistochemical analysis of paraffin-embedded human breast carcinoma tissue using JunD(Phospho-Ser255) Antibody P40028(left) or the same antibody preincubated with blocking peptide(right).
For Reseach Only
Application Key:WB - Western Blot | IHC - Immunohistochemistry | ICC - Immunocytochemistry | FCM - Flow Cytometry | ELISA - Enzyme-linked Immunosorbent Assay | IP - Immunoprecipitation
#P40028
相关产品

微信/QQ登录


首页
