提醒成功
搜索
Rabbit Polyclonal Antibody to GSK3a(Phospho-Ser21)
-
货号:
P40007 -
别名:
Factor A; GSK-3 alpha; kinase GSK3-alpha -
应用:
WB,IHC,IF -
反应种属:
Human,Mouse,Rat -
抗体类型:
Primary antibody -
Swissprot:
P49840 -
规格:
-
数量:
-+ -
说明书:
目录价¥2180
Rabbit Polyclonal Antibody to GSK3a(Phospho-Ser21)
Description |
|---|
Implicated in the hormonal control of several regulatory proteins including glycogen synthase, MYB and the transcription factor JUN. |
References |
|---|
| Barry FA, et al. (2003) FEBS Lett. 553(1-2): 173-178. Koivisto L, et al. (2003) J Cell Sci. 116(Pt 18): 3749-3760. Welsh G I, et al. (1996) Trends Cell Biol. 6:274-279. Srivastava A K, et al. (1998) Mol. Cell. Biochem. 182: 135-141. |
Specification |
|
|---|---|
| Aliases | Factor A; GSK-3 alpha; kinase GSK3-alpha |
| Entrez GeneID | 2931; |
| Swissprot | P49840 |
| WB Predicted band size | 51kDa |
| Host/Isotype | Rabbit IgG |
| Antibody Type | Primary antibody |
| Storage | Store at 4°C short term. Aliquot and store at -20°C long term. Avoid freeze/thaw cycles. |
| Species Reactivity | Human,Mouse,Rat |
| Immunogen | Peptide sequence around phosphorylation site of serine 21 (T-S-S(p)-F-A) derived from Human GSK3a. |
| Formulation | Liquid in PBS containing 50% glycerol, 0.5% BSA and 0.02% sodium azide. |
Application |
|
|---|---|
| WB | 1/500-1/1000 |
| IHC | 1/50-1/100 |
| IF/ICC | 1/100-1/200 |
Product Image
- Western blot analysis of extracts from 293 cells untreated(lane 1) or treated with serum(lane 2) using GSK3a(Phospho-Ser21) Antibody P40007.
- Western blot analysis of extracts from 293 cells, treated with insulin or calf intestinal phosphatase (CIP), using GSK3α (Phospho-Ser21) Antibody P40007.
- Immunofluorescence staining of methanol-fixed Hela cells showing cytoplasmic staining using GSK3a(Phospho-Ser21) Antibody P40007.
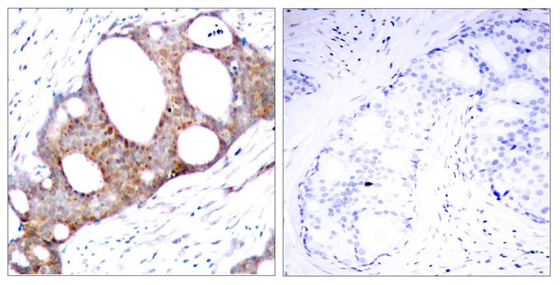
- Immunohistochemical analysis of paraffin-embedded human breast carcinoma tissue using GSK3a(Phospho-Ser21) Antibody P40007(left) or the same antibody preincubated with blocking peptide(right).
For Reseach Only
Application Key:WB - Western Blot | IHC - Immunohistochemistry | ICC - Immunocytochemistry | FCM - Flow Cytometry | ELISA - Enzyme-linked Immunosorbent Assay | IP - Immunoprecipitation
#P40007
相关产品

微信/QQ登录


首页
