提醒成功
搜索
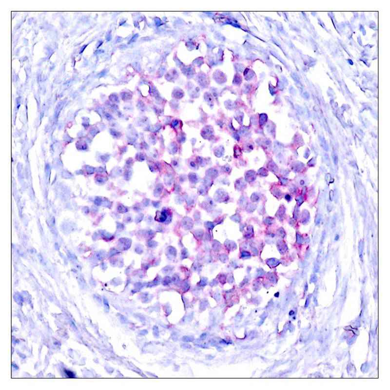
Rabbit Polyclonal Antibody to Raf1(Phospho-Ser259)
-
货号:
P40006 -
别名:
C-RAF; C-Raf; CRAF -
应用:
WB,IHC -
反应种属:
Human,Mouse,Rat -
抗体类型:
Primary antibody -
Swissprot:
P04049 -
规格:
-
数量:
-+ -
说明书:
目录价¥2180
Rabbit Polyclonal Antibody to Raf1(Phospho-Ser259)
Description |
|---|
Involved in the transduction of mitogenic signals from the cell membrane to the nucleus. Part of the Ras-dependent signaling pathway from receptors to the nucleus. Protects cells from apoptosis mediated by STK3. |
References |
|---|
| Dougherty M K, et al. (2005) Mol Cell. 17(2): 215-224. Hekman M, et al. (2005) FEBS Lett. 579(2): 464-468. Avruch J,et al. (1994) Trends Biochem. Sci. 19, 279-283. Chong H, et al. (2001) EMBO J. 20, 3716-3727. King A J, et al. (1998) Nature. 396:180-183. |
Specification |
|
|---|---|
| Aliases | C-RAF; C-Raf; CRAF |
| Entrez GeneID | 5894; |
| Swissprot | P04049 |
| WB Predicted band size | 73kDa |
| Host/Isotype | Rabbit IgG |
| Antibody Type | Primary antibody |
| Storage | Store at 4°C short term. Aliquot and store at -20°C long term. Avoid freeze/thaw cycles. |
| Species Reactivity | Human,Mouse,Rat |
| Immunogen | Peptide sequence around phosphorylation site of serine 259 (S-T-S(p)-T-P) derived from Human Raf1. |
| Formulation | Liquid in PBS containing 50% glycerol, 0.5% BSA and 0.02% sodium azide. |
Application |
|
|---|---|
| WB | 1/500-1/1000 |
| IHC | 1/50-1/100 |
Product Image
For Reseach Only
Application Key:WB - Western Blot | IHC - Immunohistochemistry | ICC - Immunocytochemistry | FCM - Flow Cytometry | ELISA - Enzyme-linked Immunosorbent Assay | IP - Immunoprecipitation
#P40006
相关产品

微信/QQ登录


首页
