提醒成功
搜索
Rabbit Polyclonal Antibody to PDK1(Phospho-Ser241)
-
货号:
P40005 -
别名:
PDPK1; PkB kinase; Protein kinase B kinase; hPDK1; kinase PDK1 -
应用:
WB,IHC,IF -
反应种属:
Human,Mouse,Rat -
抗体类型:
Primary antibody -
Swissprot:
O15530 -
规格:
-
数量:
-+ -
说明书:
目录价¥2180
Rabbit Polyclonal Antibody to PDK1(Phospho-Ser241)
Description |
|---|
Phosphorylates and activates not only PKB/AKT, but also PKA, PKC-zeta, RPS6KA1 and RPS6KB1. May play a general role in signaling processes and in development. |
References |
|---|
| Scheid MP,et al. (2005)Mol Cell Biol; 25(6): 2347-63Chen H, et al. (2001) Biochemistry; 40(39): 11851-9Sato S,et al. (2002) J Biol Chem; 277(42): 39360-7Lim MA, et al.(2003)Proc Natl Acad Sci U S A; 100(24): 14006-11 |
Specification |
|
|---|---|
| Aliases | PDPK1; PkB kinase; Protein kinase B kinase; hPDK1; kinase PDK1 |
| Entrez GeneID | 5170; |
| Swissprot | O15530 |
| WB Predicted band size | 63kDa |
| Host/Isotype | Rabbit IgG |
| Antibody Type | Primary antibody |
| Storage | Store at 4°C short term. Aliquot and store at -20°C long term. Avoid freeze/thaw cycles. |
| Species Reactivity | Human,Mouse,Rat |
| Immunogen | Peptide sequence around phosphorylation site of serine 241 (A-N-S(p)-F-V) derived from Human PDK1. |
| Formulation | Liquid in PBS containing 50% glycerol, 0.5% BSA and 0.02% sodium azide. |
Application |
|
|---|---|
| WB | 1/500-1/1000 |
| IHC | 1/50-1/100 |
| IF/ICC | 1/100-1/200 |
Product Image
- Western blot analysis of extracts from 293 and PC12 cells untreated or treated with EGF using PDK1(Phospho-Ser241) Antibody P40005.
- Immunofluorescence staining of methanol-fixed Hela cells using PDK1(Phospho-Ser241) Antibody P40005.
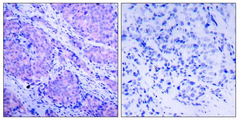
- Immunohistochemical analysis of paraffin-embedded human breast carcinoma tissue using PDK1(Phospho-Ser241) Antibody P40005(left) or the same antibody preincubated with blocking peptide(right).
For Reseach Only
Application Key:WB - Western Blot | IHC - Immunohistochemistry | ICC - Immunocytochemistry | FCM - Flow Cytometry | ELISA - Enzyme-linked Immunosorbent Assay | IP - Immunoprecipitation
#P40005
相关产品

微信/QQ登录


首页
