提醒成功

搜索
Rabbit Polyclonal Antibody to ACPP
-
货号:
P34825 -
别名:
Prostatic acid phosphatase, PAP, 5'-nucleotidase, 5'-NT, Ecto-5'-nucleotidase, Thiamine monophosphatase, TMPase, PAPf39, ACPP -
应用:
WB,IHC-P -
反应种属:
Human, Mouse, Rat -
抗体类型:
Primary antibody -
Swissprot:
P15309 -
规格:
-
数量:
-+ -
说明书:
目录价¥1980

Rabbit Polyclonal Antibody to ACPP
Description |
---|
ACPP is an enzyme which catalyzes the conversion of orthophosphoric monoester to alcohol and orthophosphate. It is synthesized under androgen regulation and is secreted by the epithelial cells of the prostate gland. |
Specification |
|
---|---|
Aliases | Prostatic acid phosphatase, PAP, 5'-nucleotidase, 5'-NT, Ecto-5'-nucleotidase, Thiamine monophosphatase, TMPase, PAPf39, ACPP |
Entrez GeneID | 55 |
Swissprot | P15309 |
WB Predicted band size | 44.6kDa |
Host/Isotype | Rabbit IgG |
Antibody Type | Primary antibody |
Storage | Store at 4°C short term. Aliquot and store at -20°C long term. Avoid freeze/thaw cycles. |
Species Reactivity | Human, Mouse, Rat |
Immunogen | This ACPP antibody is generated from rabbits immunized with a KLH conjugated synthetic peptide between 313-341 amino acids from the C-terminal region of human ACPP. |
Formulation | Purified antibody in PBS with 0.05% sodium azide,1%BSA and 50% glycerol.prepared by Saturated Ammonium Sulfate (SAS) . |
Application |
|
---|---|
WB | 1/500-1/1000 |
IHC | 1/100-1/500 |
Product Image
- All lanes : Anti-ACPP Antibody (C-term) at 1:1000 dilution Lane 1: Mouse prostate whole tissue lysate Lane 2: Rat prostate whole tissue lysate Lysates/proteins at 20 µg per lane. Secondary Goat Anti-Rabbit IgG, (H+L), Peroxidase conjugated at 1/10000 dilution. Predicted band size : 45 kDa Blocking/Dilution buffer: 5% NFDM/TBST.
- All lanes : Anti-ACPP Antibody (C-term) at 1:500 dilution Lane 1: PC-3 whole cell lysate Lane 2: DU145 whole cell lysate Lane 3: U-251MG whole cell lysate Lane 4: Mouse lung whole tissue lysate Lane 5: Mouse prostate whole tissue lysate Lane 5: Rat prostate whole tissue lysate Lysates/proteins at 20 µg per lane. Secondary Goat Anti-Rabbit IgG, (H+L), Peroxidase conjugated at 1/10000 dilution. Predicted band size : 45 kDa Blocking/Dilution buffer: 5% NFDM/TBST.
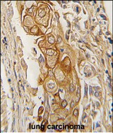
- Formalin-fixed and paraffin-embedded human lung carcinoma tissue reacted with ACPP antibody (C-term) (Cat.#P34825), which was peroxidase-conjugated to the secondary antibody, followed by DAB staining. This data demonstrates the use of this antibody for immunohistochemistry; clinical relevance has not been evaluated.
For Reseach Only
Application Key:WB - Western Blot | IHC - Immunohistochemistry | ICC - Immunocytochemistry | FCM - Flow Cytometry | ELISA - Enzyme-linked Immunosorbent Assay | IP - Immunoprecipitation
#P34825

相关产品


