提醒成功

搜索
Rabbit Polyclonal Antibody to CLEC4F
-
货号:
P34806 -
别名:
C-type lectin domain family 4 member F, C-type lectin superfamily member 13, C-type lectin 13, CLEC4F, CLECSF13 -
应用:
WB,IHC-P -
反应种属:
Human -
抗体类型:
Primary antibody -
Swissprot:
Q8N1N0 -
规格:
-
数量:
-+ -
说明书:
目录价¥1980

Rabbit Polyclonal Antibody to CLEC4F
Description |
---|
Receptor with an affinity for galactose and fucose. Could be involved in endocytosis (By similarity). |
Specification |
|
---|---|
Aliases | C-type lectin domain family 4 member F, C-type lectin superfamily member 13, C-type lectin 13, CLEC4F, CLECSF13 |
Entrez GeneID | 165530 |
Swissprot | Q8N1N0 |
WB Predicted band size | 65.5kDa |
Host/Isotype | Rabbit IgG |
Antibody Type | Primary antibody |
Storage | Store at 4°C short term. Aliquot and store at -20°C long term. Avoid freeze/thaw cycles. |
Species Reactivity | Human |
Immunogen | This CLEC4F antibody is generated from rabbits immunized with a KLH conjugated synthetic peptide between 311-339 amino acids from the C-terminal region of human CLEC4F. |
Formulation | Purified antibody in PBS with 0.05% sodium azide. |
Application |
|
---|---|
WB | 1/1000 |
IHC | 1/100-1/500 |
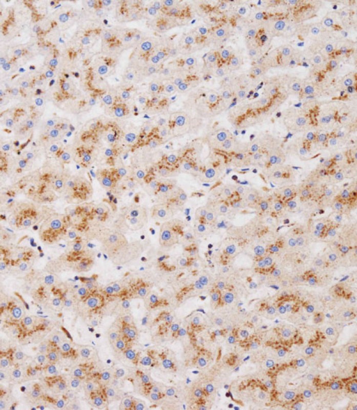
Product Image
- All lanes : Anti-CLEC4F Antibody (C-term) at 1:2000 dilution. Lane 1: Hela whole cell lysate. Lane 2: U-2OS whole cell lysate. Lysates/proteins at 20 µg per lane. Secondary Goat Anti-Rabbit IgG(H+L) Peroxidase conjugated at 1/10000 dilution. Predicted band size : 66 kDa. Blocking/Dilution buffer: 5% NFDM/TBST.
- Immunohistochemical analysis of P34806 on paraffin-embedded human skeletal muscle tissue was performed on the Leica® BOND RXm. Tissue was fixed with formaldehyde at room temperature. Heat induced epitope retrieval was performed by EDTA buffer (pH9. 0). Samples were incubated with primary antibody(1:250) for 15min at room temperature. Leica Bond Polymer Refine Detection was used as the secondary antibody.
- Immunohistochemical analysis of P34806 on paraffin-embedded human liver tissue was performed on the Leica® BOND RXm. Tissue was fixed with formaldehyde at room temperature. Heat induced epitope retrieval was performed by EDTA buffer (pH9. 0). Samples were incubated with primary antibody(1:250) for 15min at room temperature. Leica Bond Polymer Refine Detection was used as the secondary antibody.
For Reseach Only
Application Key:WB - Western Blot | IHC - Immunohistochemistry | ICC - Immunocytochemistry | FCM - Flow Cytometry | ELISA - Enzyme-linked Immunosorbent Assay | IP - Immunoprecipitation
#P34806

相关产品


