提醒成功

搜索
Rabbit Polyclonal Antibody to ADAMTS17
-
货号:
P34793 -
别名:
A disintegrin and metalloproteinase with thrombospondin motifs 17, ADAM-TS 17, ADAM-TS17, ADAMTS-17, 3424-, ADAMTS17 -
应用:
WB,IHC-P -
反应种属:
Human -
抗体类型:
Primary antibody -
Swissprot:
Q8TE56 -
规格:
-
数量:
-+ -
说明书:
目录价¥1980

Rabbit Polyclonal Antibody to ADAMTS17
Specification |
|
---|---|
Aliases | A disintegrin and metalloproteinase with thrombospondin motifs 17, ADAM-TS 17, ADAM-TS17, ADAMTS-17, 3424-, ADAMTS17 |
Entrez GeneID | 170691 |
Swissprot | Q8TE56 |
WB Predicted band size | 121.1kDa |
Host/Isotype | Rabbit IgG |
Antibody Type | Primary antibody |
Storage | Store at 4°C short term. Aliquot and store at -20°C long term. Avoid freeze/thaw cycles. |
Species Reactivity | Human |
Immunogen | This ADAMTS17 antibody is generated from a rabbit immunized with a KLH conjugated synthetic peptide between 508-540 amino acids from the Central region of human ADAMTS17. |
Formulation | Purified antibody in PBS with 0.05% sodium azide. |
Application |
|
---|---|
WB | 1/500-1/2000 |
IHC | 1/100 |
Product Image
- All lanes : Anti-ADAMTS17 Antibody (Center) at 1:500 dilution Lane 1: A431 whole cell lysate Lane 2: 293 whole cell lysate Lane 3: SK-BR-3 whole cell lysate Lane 4: RPMI 8226 whole cell lysate Lane 5: MOLT-4 whole cell lysate Lane 6: PC-3 whole cell lysate Lysates/proteins at 20 µg per lane. Secondary Goat Anti-Rabbit IgG, (H+L), Peroxidase conjugated at 1/10000 dilution. Predicted band size : 121 kDa Blocking/Dilution buffer: 5% NFDM/TBST.
- All lanes : Anti-ADAMTS17 Antibody (Center) at 1:500 dilution Lane 1: A431 whole cell lysate Lane 2: 293 whole cell lysate Lane 3: SK-BR-3 whole cell lysate Lane 4: RPMI 8226 whole cell lysate Lane 5: PC-3 whole cell lysate Lysates/proteins at 20 µg per lane. Secondary Goat Anti-Rabbit IgG, (H+L), Peroxidase conjugated at 1/10000 dilution. Predicted band size : 121 kDa Blocking/Dilution buffer: 5% NFDM/TBST.
- Anti-ADAMTS17 Antibody (Center) at 1:2000 dilution + Molt-4 whole cell lysate Lysates/proteins at 20 µg per lane. Secondary Goat Anti-Rabbit IgG, (H+L), Peroxidase conjugated at 1/10000 dilution. Predicted band size : 121 kDa Blocking/Dilution buffer: 5% NFDM/TBST.
- Immunohistochemical analysis of P34793 on paraffin-embedded Human brain tissue. Tissue was fixed with formaldehyde at room temperature. Heat induced epitope retrieval was performed by EDTA buffer (pH9. 0). Samples were incubated with primary antibody(1:100) for 1 hour at room temperature. Undiluted CRF Anti-Polyvalent HRP Polymer antibody was used as the secondary antibody.
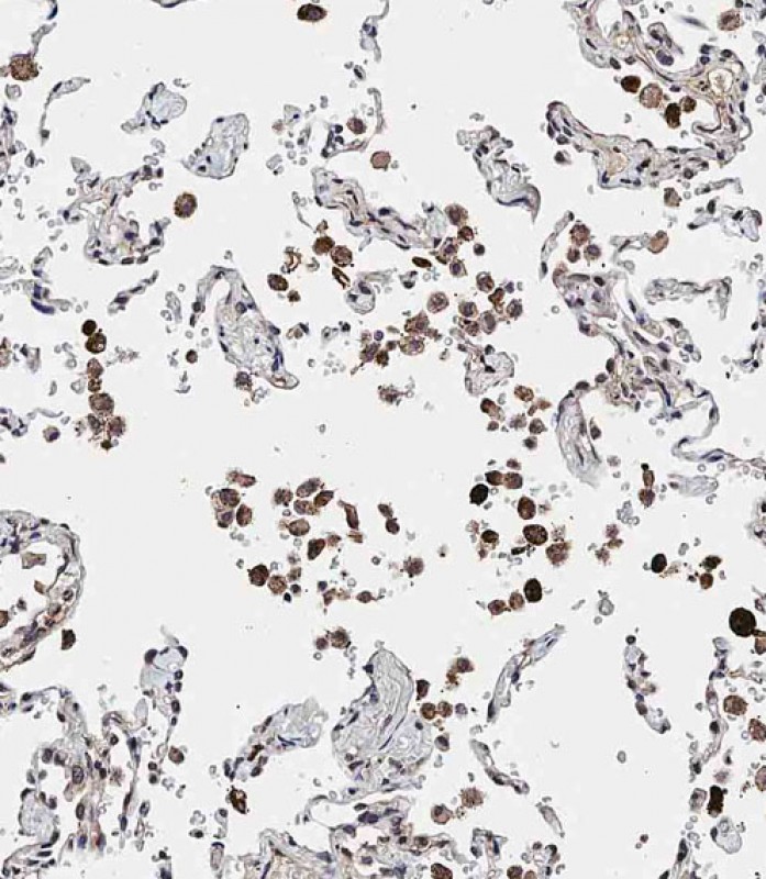
- Immunohistochemical analysis of P34793 on paraffin-embedded Human lung tissue. Tissue was fixed with formaldehyde at room temperature. Heat induced epitope retrieval was performed by EDTA buffer (pH9. 0). Samples were incubated with primary antibody(1:100) for 1 hour at room temperature. Undiluted CRF Anti-Polyvalent HRP Polymer antibody was used as the secondary antibody.
- Immunohistochemical analysis of P34793 on paraffin-embedded Human lung tissue. Tissue was fixed with formaldehyde at room temperature. Heat induced epitope retrieval was performed by EDTA buffer (pH9. 0). Samples were incubated with primary antibody(1:100) for 1 hour at room temperature. Undiluted CRF Anti-Polyvalent HRP Polymer antibody was used as the secondary antibody.
- Immunohistochemical analysis of P34793 on paraffin-embedded Human brain tissue. Tissue was fixed with formaldehyde at room temperature. Heat induced epitope retrieval was performed by EDTA buffer (pH9. 0). Samples were incubated with primary antibody(1:100) for 1 hour at room temperature. Undiluted CRF Anti-Polyvalent HRP Polymer antibody was used as the secondary antibody.
For Reseach Only
Application Key:WB - Western Blot | IHC - Immunohistochemistry | ICC - Immunocytochemistry | FCM - Flow Cytometry | ELISA - Enzyme-linked Immunosorbent Assay | IP - Immunoprecipitation
#P34793

相关产品


