提醒成功

搜索
Rabbit Polyclonal Antibody to CD163L1
-
货号:
P34789 -
别名:
Scavenger receptor cysteine-rich type 1 protein M160, CD163 antigen-like 1, CD163b, CD163L1, CD163B, M160 -
应用:
WB,IHC-P -
反应种属:
Human -
抗体类型:
Primary antibody -
Swissprot:
Q9NR16 -
规格:
-
数量:
-+ -
说明书:
目录价¥1980

Rabbit Polyclonal Antibody to CD163L1
Description |
---|
This gene encodes a member of the scavenger receptor cysteine-rich (SRCR) superfamily. Members of this family are secreted or membrane-anchored proteins mainly found in cells associated with the immune system. The SRCR family is defined by a 100-110 amino acid SRCR domain, which may mediate protein-protein interaction and ligand binding. The encoded protein contains twelve SRCR domains, a transmembrane region and a cytoplasmic domain. Alternatively spliced transcript variants encoding different isoforms have been described but their full-length nature has not been determined. |
Specification |
|
---|---|
Aliases | Scavenger receptor cysteine-rich type 1 protein M160, CD163 antigen-like 1, CD163b, CD163L1, CD163B, M160 |
Entrez GeneID | 283316 |
Swissprot | Q9NR16 |
WB Predicted band size | 159.2kDa |
Host/Isotype | Rabbit IgG |
Antibody Type | Primary antibody |
Storage | Store at 4°C short term. Aliquot and store at -20°C long term. Avoid freeze/thaw cycles. |
Species Reactivity | Human |
Immunogen | This CD163L1 antibody is generated from rabbits immunized with a KLH conjugated synthetic peptide between 1401-1430 amino acids from the C-terminal region of human CD163L1. |
Formulation | Purified antibody in PBS with 0.05% sodium azide. |
Application |
|
---|---|
WB | 1/1000 |
IHC | 1/100 |
Product Image
- Anti-CD163L1 Antibody (C-term) at 1:1000 dilution + U-2OS whole cell lysate Lysates/proteins at 20 µg per lane. Secondary Goat Anti-Rabbit IgG, (H+L), Peroxidase conjugated at 1/10000 dilution. Predicted band size : 159 kDa Blocking/Dilution buffer: 5% NFDM/TBST.
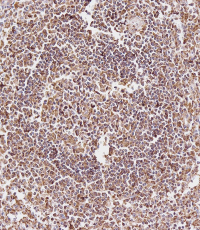
- Immunohistochemical analysis of P34789 on paraffin-embedded Human lymph node tissue. Tissue was fixed with formaldehyde at room temperature. Heat induced epitope retrieval was performed by EDTA buffer (pH9. 0). Samples were incubated with primary antibody(1:100) for 1 hour at room temperature. Undiluted CRF Anti-Polyvalent HRP Polymer antibody was used as the secondary antibody.
- Immunohistochemical analysis of P34789 on paraffin-embedded Human spleen tissue. Tissue was fixed with formaldehyde at room temperature. Heat induced epitope retrieval was performed by EDTA buffer (pH9. 0). Samples were incubated with primary antibody(1:100) for 1 hour at room temperature. Undiluted CRF Anti-Polyvalent HRP Polymer antibody was used as the secondary antibody.
For Reseach Only
Application Key:WB - Western Blot | IHC - Immunohistochemistry | ICC - Immunocytochemistry | FCM - Flow Cytometry | ELISA - Enzyme-linked Immunosorbent Assay | IP - Immunoprecipitation
#P34789

相关产品


