提醒成功

搜索
Rabbit Polyclonal Antibody to TUBB6
-
货号:
P34763 -
别名:
Tubulin beta-6 chain, Tubulin beta class V, TUBB6 -
应用:
WB -
反应种属:
Human -
抗体类型:
Primary antibody -
Swissprot:
Q9BUF5 -
规格:
-
数量:
-+ -
说明书:
目录价¥1980

Rabbit Polyclonal Antibody to TUBB6
Description |
---|
Tubulin is the major constituent of microtubules. It binds two moles of GTP, one at an exchangeable site on the beta chain and one at a non-exchangeable site on the alpha-chain (By similarity). |
Specification |
|
---|---|
Aliases | Tubulin beta-6 chain, Tubulin beta class V, TUBB6 |
Entrez GeneID | 84617 |
Swissprot | Q9BUF5 |
WB Predicted band size | 49.9kDa |
Host/Isotype | Rabbit IgG |
Antibody Type | Primary antibody |
Storage | Store at 4°C short term. Aliquot and store at -20°C long term. Avoid freeze/thaw cycles. |
Species Reactivity | Human |
Immunogen | This TUBB6 antibody is generated from rabbits immunized with a KLH conjugated synthetic peptide between 139-166 amino acids from the Central region of human TUBB6. |
Formulation | Purified antibody in PBS with 0.05% sodium azide. |
Application |
|
---|---|
WB | 1/1000 |
Product Image
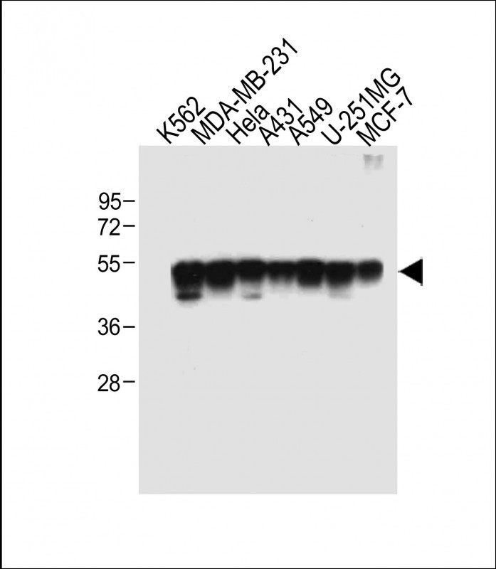
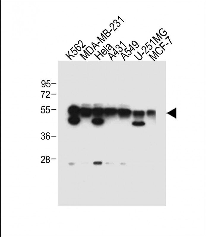
- All lanes : Anti-TUBB6 Antibody (Center) at 1:2000 dilution Lane 1: K562 whole cell lysate Lane 2: MDA-MB-231 whole cell lysate Lane 3: Hela whole cell lysate Lane 4: A431 whole cell lysate Lane 5: A549 whole cell lysate Lane 6: U-251MG whole cell lysate Lane 7: MCF-7 whole cell lysate Lysates/proteins at 20 µg per lane. Secondary Goat Anti-Rabbit IgG, (H+L), Peroxidase conjugated at 1/10000 dilution. Predicted band size : 50 kDa Blocking/Dilution buffer: 5% NFDM/TBST.
- All lanes : Anti-TUBB6 Antibody (Center) at 1:2000 dilution Lane 1: K562 whole cell lysate Lane 2: MDA-MB-231 whole cell lysate Lane 3: Hela whole cell lysate Lane 4: A431 whole cell lysate Lane 5: A549 whole cell lysate Lane 6: U-251MG whole cell lysate Lane 7: MCF-7 whole cell lysate Lysates/proteins at 20 µg per lane. Secondary Goat Anti-Rabbit IgG, (H+L), Peroxidase conjugated at 1/10000 dilution. Predicted band size : 50 kDa Blocking/Dilution buffer: 5% NFDM/TBST.
- All lanes : Anti-TUBB6 Antibody (Center) at 1:2000 dilution Lane 1: K562 whole cell lysate Lane 2: MDA-MB-231 whole cell lysate Lane 3: Hela whole cell lysate Lane 4: A431 whole cell lysate Lane 5: A549 whole cell lysate Lane 6: U-251MG whole cell lysate Lane 7: MCF-7 whole cell lysate Lysates/proteins at 20 µg per lane. Secondary Goat Anti-Rabbit IgG, (H+L), Peroxidase conjugated at 1/10000 dilution. Predicted band size : 50 kDa Blocking/Dilution buffer: 5% NFDM/TBST.
For Reseach Only
Application Key:WB - Western Blot | IHC - Immunohistochemistry | ICC - Immunocytochemistry | FCM - Flow Cytometry | ELISA - Enzyme-linked Immunosorbent Assay | IP - Immunoprecipitation
#P34763

相关产品


