提醒成功

搜索
Rabbit Polyclonal Antibody to HDAC6
-
货号:
P34762 -
别名:
Histone deacetylase 6, HD6, HDAC6, KIAA0901 -
应用:
WB,IHC-P -
反应种属:
Human, Mouse -
抗体类型:
Primary antibody -
Swissprot:
Q9UBN7 -
规格:
-
数量:
-+ -
说明书:
目录价¥1980

Rabbit Polyclonal Antibody to HDAC6
Description |
---|
HDAC6 (histone deacetylase 6) is responsible for the deacetylation of lysine residues on the N-terminal part of the core histones (H2A, H2B, H3 and H4). Histone deacetylation gives a tag for epigenetic repression and plays an important role in transcriptional regulation, cell cycle progression and developmental events. Histone deacetylases act via the formation of large multiprotein complexes. HDAC6 plays a central role in microtubule-dependent cell motility via deacetylation of tubulin, and has been shown to interact with HDAC11, SIRT2, and F-actin. HDAC6 is ubiquitinated, but its polyubiquitination however does not lead to degradation. HDAC is also a potential target of sumoylation. |
Specification |
|
---|---|
Aliases | Histone deacetylase 6, HD6, HDAC6, KIAA0901 |
Entrez GeneID | 10013 |
Swissprot | Q9UBN7 |
WB Predicted band size | 131.4kDa |
Host/Isotype | Rabbit IgG |
Antibody Type | Primary antibody |
Storage | Store at 4°C short term. Aliquot and store at -20°C long term. Avoid freeze/thaw cycles. |
Species Reactivity | Human, Mouse |
Immunogen | This HDAC6 antibody is generated from rabbits immunized with a KLH conjugated synthetic peptide between 1182-1215 amino acids from the C-terminal region of human HDAC6. |
Formulation | Purified antibody in PBS with 0.05% sodium azide,1%BSA and 50% glycerol.prepared by Saturated Ammonium Sulfate (SAS) . |
Application |
|
---|---|
WB | 1/1000 |
IHC | 1/100-1/500 |
Product Image
- All lanes : Anti-HDAC6 Antibody (C-term) at 1:1000 dilution Lane 1: HepG2 whole cell lysate Lane 2: T47D whole cell lysate Lysates/proteins at 20 µg per lane. Secondary Goat Anti-Rabbit IgG, (H+L), Peroxidase conjugated at 1/10000 dilution. Predicted band size : 131 kDa Blocking/Dilution buffer: 5% NFDM/TBST.
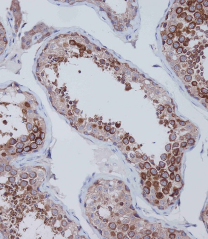
- Immunohistochemical analysis of P34762 on paraffin-embedded Human testis tissue. Tissue was fixed with formaldehyde at room temperature. Heat induced epitope retrieval was performed by EDTA buffer (pH9. 0). Samples were incubated with primary antibody(1:100) for 1 hour at room temperature. Undiluted CRF Anti-Polyvalent HRP Polymer antibody was used as the secondary antibody.
For Reseach Only
Application Key:WB - Western Blot | IHC - Immunohistochemistry | ICC - Immunocytochemistry | FCM - Flow Cytometry | ELISA - Enzyme-linked Immunosorbent Assay | IP - Immunoprecipitation
#P34762

相关产品


