提醒成功

搜索
Rabbit Polyclonal Antibody to PEMT
-
货号:
P34761 -
别名:
Phosphatidylethanolamine N-methyltransferase, PEAMT, PEMT, PEMT2, PEMT, PEMPT, PNMT -
应用:
WB,IHC-P -
反应种属:
Human, Mouse -
抗体类型:
Primary antibody -
Swissprot:
Q9UBM1 -
规格:
-
数量:
-+ -
说明书:
目录价¥1980

Rabbit Polyclonal Antibody to PEMT
Description |
---|
PEMT is an enzyme which converts phosphatidylethanolamine to phosphatidylcholine by sequential methylation in the liver. The protein localizes to the endoplasmic reticulum and mitochondria-associated membranes. The gene is within the Smith-Magenis syndrome region on chromosome 17. |
Specification |
|
---|---|
Aliases | Phosphatidylethanolamine N-methyltransferase, PEAMT, PEMT, PEMT2, PEMT, PEMPT, PNMT |
Entrez GeneID | 10400 |
Swissprot | Q9UBM1 |
WB Predicted band size | 22.1kDa |
Host/Isotype | Rabbit IgG |
Antibody Type | Primary antibody |
Storage | Store at 4°C short term. Aliquot and store at -20°C long term. Avoid freeze/thaw cycles. |
Species Reactivity | Human, Mouse |
Immunogen | This PEMT antibody is generated from rabbits immunized with a KLH conjugated synthetic peptide between 170-199 amino acids from the C-terminal region of human PEMT. |
Formulation | Purified antibody in PBS with 0.05% sodium azide. |
Application |
|
---|---|
WB | 1/1000 |
IHC | 1/100 |
Product Image
- All lanes : Anti-PEMT Antibody (C-term) at 1:1000 dilution Lane 1: A549 whole cell lysate Lane 2: MCF-7 whole cell lysate Lane 3: Mouse liver tissue lysate Lane 4: Mouse ovary tissue lysate Lysates/proteins at 20 µg per lane. Secondary Goat Anti-Rabbit IgG, (H+L), Peroxidase conjugated at 1/10000 dilution. Predicted band size : 22 kDa Blocking/Dilution buffer: 5% NFDM/TBST.
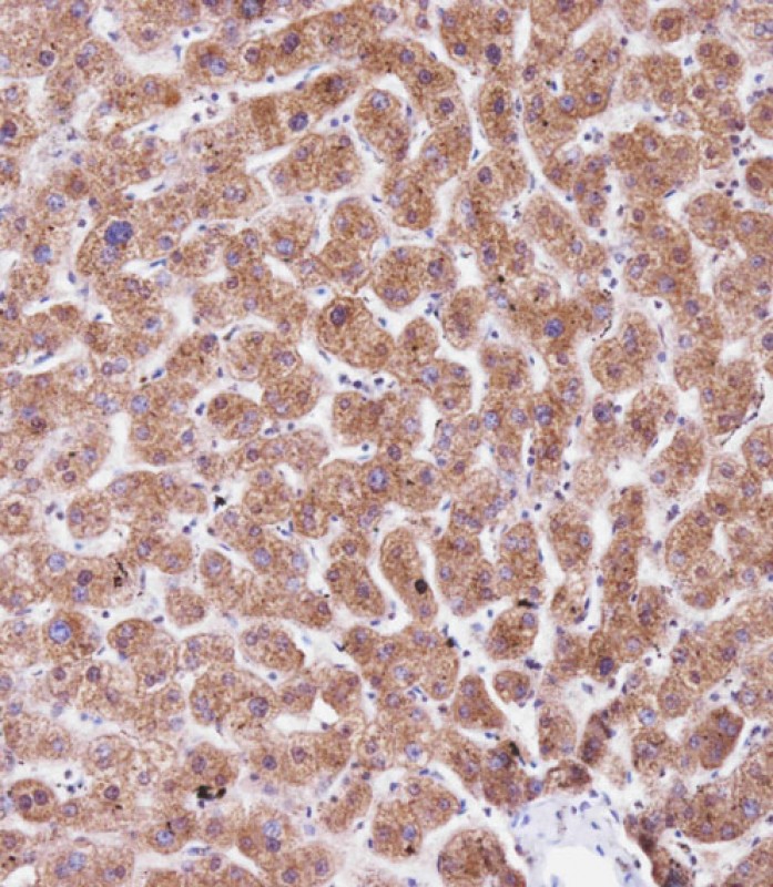
- Immunohistochemical analysis of P34761 on paraffin-embedded Human liver tissue. Tissue was fixed with formaldehyde at room temperature. Heat induced epitope retrieval was performed by EDTA buffer (pH9. 0). Samples were incubated with primary antibody(1:100) for 1 hour at room temperature. Undiluted CRF Anti-Polyvalent HRP Polymer antibody was used as the secondary antibody.
For Reseach Only
Application Key:WB - Western Blot | IHC - Immunohistochemistry | ICC - Immunocytochemistry | FCM - Flow Cytometry | ELISA - Enzyme-linked Immunosorbent Assay | IP - Immunoprecipitation
#P34761

相关产品


