提醒成功

搜索
Rabbit Polyclonal Antibody to SERPINA6
-
货号:
P34757 -
别名:
Corticosteroid-binding globulin, CBG, Serpin A6, Transcortin, SERPINA6, CBG -
应用:
WB,IHC-P -
反应种属:
Human -
抗体类型:
Primary antibody -
Swissprot:
P08185 -
规格:
-
数量:
-+ -
说明书:
目录价¥1980

Rabbit Polyclonal Antibody to SERPINA6
Description |
---|
This gene encodes an alpha-globulin protein with corticosteroid-binding properties. This is the major transport protein for glucorticoids and progestins in the blood of most vertebrates. The gene localizes to a chromosomal region containing several closely related serine protease inhibitors which may have evolved by duplication events. |
Specification |
|
---|---|
Aliases | Corticosteroid-binding globulin, CBG, Serpin A6, Transcortin, SERPINA6, CBG |
Entrez GeneID | 866 |
Swissprot | P08185 |
WB Predicted band size | 45.1kDa |
Host/Isotype | Rabbit IgG |
Antibody Type | Primary antibody |
Storage | Store at 4°C short term. Aliquot and store at -20°C long term. Avoid freeze/thaw cycles. |
Species Reactivity | Human |
Immunogen | This SERPINA6 antibody is generated from rabbits immunized with a KLH conjugated synthetic peptide between 197-225 amino acids from the Central region of human SERPINA6. |
Formulation | Purified antibody in PBS with 0.05% sodium azide. |
Application |
|
---|---|
WB | 1/1000 |
IHC | 1/100 |
Product Image
- Anti-SERPINA6 Antibody (Center) at 1:1000 dilution + Human plasma tissue lysate Lysates/proteins at 20 µg per lane. Secondary Goat Anti-Rabbit IgG, (H+L), Peroxidase conjugated at 1/10000 dilution. Predicted band size : 45 kDa Blocking/Dilution buffer: 5% NFDM/TBST.
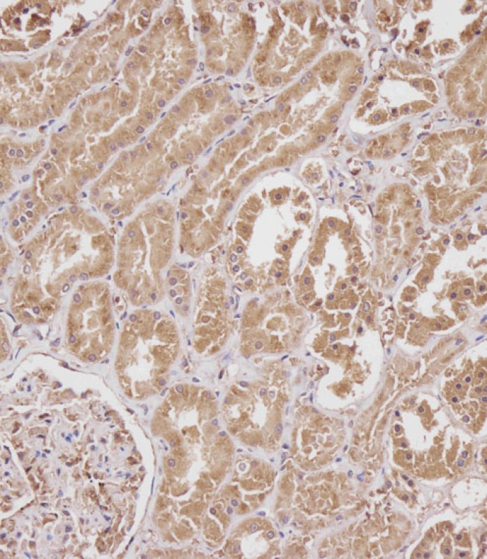
- Immunohistochemical analysis of P34757 on paraffin-embedded Human kidney tissue. Tissue was fixed with formaldehyde at room temperature. Heat induced epitope retrieval was performed by EDTA buffer (pH9. 0). Samples were incubated with primary antibody(1:100) for 1 hour at room temperature. Undiluted CRF Anti-Polyvalent HRP Polymer antibody was used as the secondary antibody.
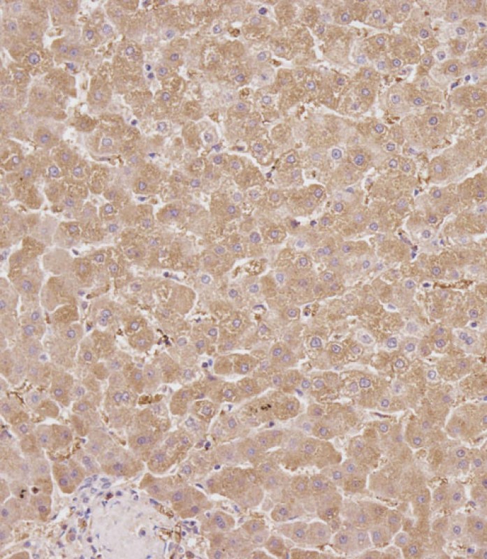
- Immunohistochemical analysis of P34757 on paraffin-embedded Human liver tissue. Tissue was fixed with formaldehyde at room temperature. Heat induced epitope retrieval was performed by EDTA buffer (pH9. 0). Samples were incubated with primary antibody(1:100) for 1 hour at room temperature. Undiluted CRF Anti-Polyvalent HRP Polymer antibody was used as the secondary antibody.
For Reseach Only
Application Key:WB - Western Blot | IHC - Immunohistochemistry | ICC - Immunocytochemistry | FCM - Flow Cytometry | ELISA - Enzyme-linked Immunosorbent Assay | IP - Immunoprecipitation
#P34757

相关产品


