提醒成功

搜索
Rabbit Polyclonal Antibody to CTSK (Center R222)
-
货号:
P34752 -
别名:
Cathepsin K, Cathepsin O, Cathepsin O2, Cathepsin X, CTSK, CTSO, CTSO2 -
应用:
WB,IHC-P -
反应种属:
Human, Mouse -
抗体类型:
Primary antibody -
Swissprot:
P43235 -
规格:
-
数量:
-+ -
说明书:
目录价¥1980

Rabbit Polyclonal Antibody to CTSK (Center R222)
Description |
---|
The protein encoded by this gene is a lysosomal cysteine proteinase involved in bone remodeling and resorption. This protein, which is a member of the peptidase C1 protein family, is predominantly expressed in osteoclasts. However, the encoded protein is also expressed in a significant fraction of human breast cancers, where it could contribute to tumor invasiveness. Mutations in this gene are the cause of pycnodysostosis, an autosomal recessive disease characterized by osteosclerosis and short stature. This gene may be subject to RNA editing. |
Specification |
|
---|---|
Aliases | Cathepsin K, Cathepsin O, Cathepsin O2, Cathepsin X, CTSK, CTSO, CTSO2 |
Entrez GeneID | 1513 |
Swissprot | P43235 |
WB Predicted band size | 37.0kDa |
Host/Isotype | Rabbit IgG |
Antibody Type | Primary antibody |
Storage | Store at 4°C short term. Aliquot and store at -20°C long term. Avoid freeze/thaw cycles. |
Species Reactivity | Human, Mouse |
Immunogen | This CTSK antibody is generated from rabbits immunized with a KLH conjugated synthetic peptide between 207-237 amino acids from the Central region of human CTSK. |
Formulation | Purified antibody in PBS with 0.05% sodium azide. |
Application |
|
---|---|
WB | 1/2000 |
IHC | 1/100 |
Product Image
- Anti-CTSK Antibody (Center R222) at 1:2000 dilution + Mouse skeletal muscle lysate Lysates/proteins at 20 µg per lane. Secondary Goat Anti-Rabbit IgG, (H+L), Peroxidase conjugated at 1/10000 dilution. Predicted band size : 37 kDa Blocking/Dilution buffer: 5% NFDM/TBST.
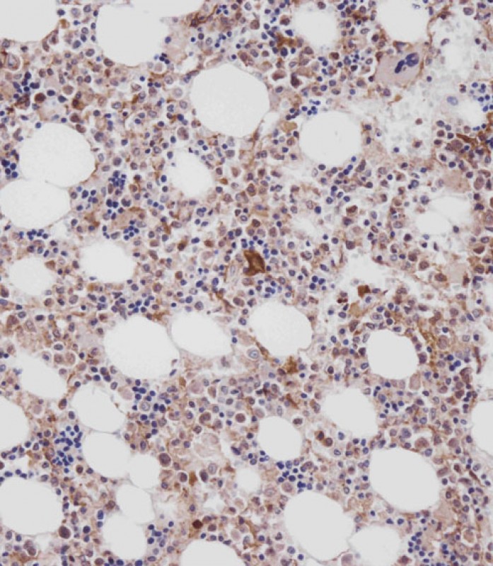
- Immunohistochemical analysis of P34752 on paraffin-embedded Human marrow tissue. Tissue was fixed with formaldehyde at room temperature. Heat induced epitope retrieval was performed by EDTA buffer (pH9. 0). Samples were incubated with primary antibody(1:100) for 1 hour at room temperature. Undiluted CRF Anti-Polyvalent HRP Polymer antibody was used as the secondary antibody.
For Reseach Only
Application Key:WB - Western Blot | IHC - Immunohistochemistry | ICC - Immunocytochemistry | FCM - Flow Cytometry | ELISA - Enzyme-linked Immunosorbent Assay | IP - Immunoprecipitation
#P34752

相关产品


