提醒成功

搜索
Rabbit Polyclonal Antibody to RAB28
-
货号:
P34601 -
别名:
Ras-related protein Rab-28, RAB28 -
应用:
WB,IHC-P,FCM -
反应种属:
Human, Mouse, Rat -
抗体类型:
Primary antibody -
Swissprot:
P51157 -
规格:
-
数量:
-+ -
说明书:
目录价¥1980

Rabbit Polyclonal Antibody to RAB28
Description |
---|
This gene encodes a member of the Rab subfamily of Ras-related small GTPases. The encoded protein may be involved in regulating intracellular trafficking. Alternative splicing results in multiple transcript variants. Pseudogenes of this gene are found on chromosomes 9 and X. |
Specification |
|
---|---|
Aliases | Ras-related protein Rab-28, RAB28 |
Entrez GeneID | 9364 |
Swissprot | P51157 |
WB Predicted band size | 24.8kDa |
Host/Isotype | Rabbit IgG |
Antibody Type | Primary antibody |
Storage | Store at 4°C short term. Aliquot and store at -20°C long term. Avoid freeze/thaw cycles. |
Species Reactivity | Human, Mouse, Rat |
Immunogen | This RAB28 antibody is generated from rabbits immunized with a KLH conjugated synthetic peptide between 119-147 amino acids from the Central region of human RAB28. |
Formulation | Purified antibody in PBS with 0.05% sodium azide. |
Application |
|
---|---|
WB | 1/1000 |
IHC | 1/500 |
FCM | 1/25 |
Product Image
- Anti-RAB28 Antibody (Center) at 1:1000 dilution + Human kidney lysate Lysates/proteins at 20 µg per lane. Secondary Goat Anti-Rabbit IgG, (H+L), Peroxidase conjugated at 1/10000 dilution. Predicted band size : 25 kDa Blocking/Dilution buffer: 5% NFDM/TBST.
- Overlay histogram showing A2058 cells stained with P34601(green line). The cells were fixed with 2% paraformaldehyde and then permeabilized with 90% methanol for 10 min. The cells were then incubated in 2% bovine serum albumin to block non-specific protein-protein interactions followed by the antibody (1:25 dilution) for 60 min at 37ºC. The secondary antibody used was Goat-Anti-Rabbit IgG, DyLight® 488 Conjugated Highly Cross-Adsorbed at 1/200 dilution for 40 min at Room temperature. Isotype control antibody (blue line) was rabbit IgG1 (1μg/1x10^6 cells) used under the same conditions. Acquisition of >10, 000 events was performed.
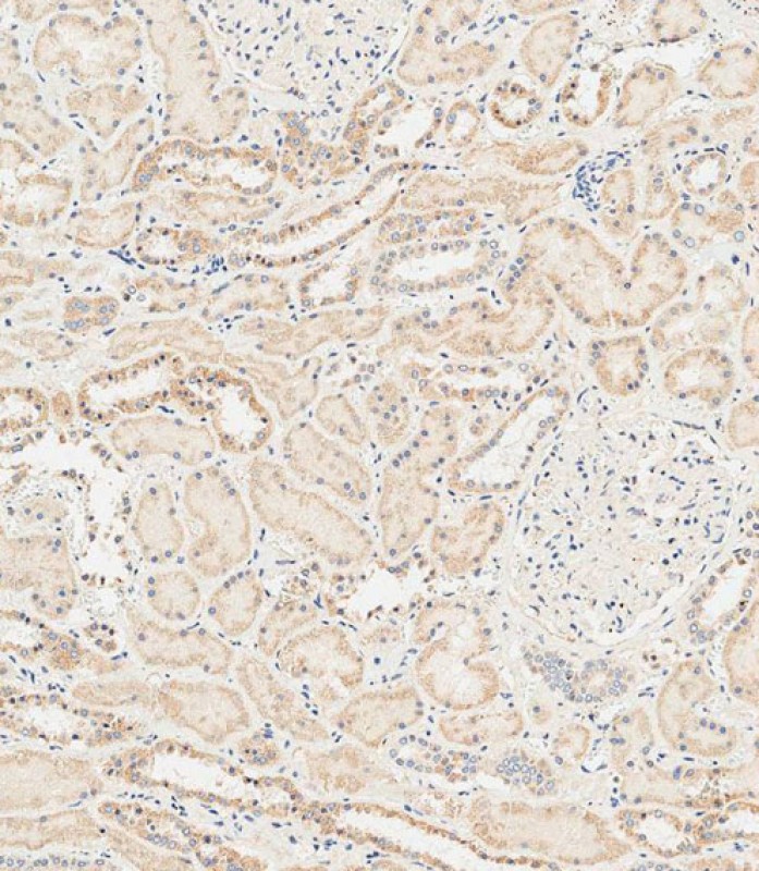
- Immunohistochemical analysis of paraffin-embedded human kidney tissue using P34601 performed on the Leica® BOND RXm. Samples were incubated with primary antibody(1/500) for 1 hours at room temperature. A undiluted biotinylated CRF Anti-Polyvalent HRP Polymer antibody was used as the secondary antibody.
For Reseach Only
Application Key:WB - Western Blot | IHC - Immunohistochemistry | ICC - Immunocytochemistry | FCM - Flow Cytometry | ELISA - Enzyme-linked Immunosorbent Assay | IP - Immunoprecipitation
#P34601

相关产品


