提醒成功

搜索
Rabbit Polyclonal Antibody to DRG1
-
货号:
P34600 -
别名:
Developmentally-regulated GTP-binding protein 1, DRG-1, Neural precursor cell expressed developmentally down-regulated protein 3, NEDD-3, DRG1, NEDD3 -
应用:
WB,IHC-P,FCM -
反应种属:
Human -
抗体类型:
Primary antibody -
Swissprot:
Q9Y295 -
规格:
-
数量:
-+ -
说明书:
目录价¥1980

Rabbit Polyclonal Antibody to DRG1
Description |
---|
DRG1 may play a role in cell proliferation, differentiation and death. |
Specification |
|
---|---|
Aliases | Developmentally-regulated GTP-binding protein 1, DRG-1, Neural precursor cell expressed developmentally down-regulated protein 3, NEDD-3, DRG1, NEDD3 |
Entrez GeneID | 4733 |
Swissprot | Q9Y295 |
WB Predicted band size | 40.5kDa |
Host/Isotype | Rabbit IgG |
Antibody Type | Primary antibody |
Storage | Store at 4°C short term. Aliquot and store at -20°C long term. Avoid freeze/thaw cycles. |
Species Reactivity | Human |
Immunogen | This DRG1 antibody is generated from rabbits immunized with a KLH conjugated synthetic peptide between 334-363 amino acids from the C-terminal region of human DRG1. |
Formulation | Purified antibody in PBS with 0.05% sodium azide. |
Application |
|
---|---|
WB | 1/2000 |
IHC | 1/100-1/500 |
FCM | 1/10-1/50 |
Product Image
- Anti-DRG1 Antibody (C-term) at 1:2000 dilution + Human heart lysate Lysates/proteins at 20 µg per lane. Secondary Goat Anti-Rabbit IgG, (H+L), Peroxidase conjugated at 1/10000 dilution. Predicted band size : 41 kDa Blocking/Dilution buffer: 5% NFDM/TBST.
- DRG1 Antibody (C-term) (Cat. #P34600) flow cytometric analysis of Hela cells (right histogram) compared to a negative control cell (left histogram).FITC-conjugated goat-anti-rabbit secondary antibodies were used for the analysis.
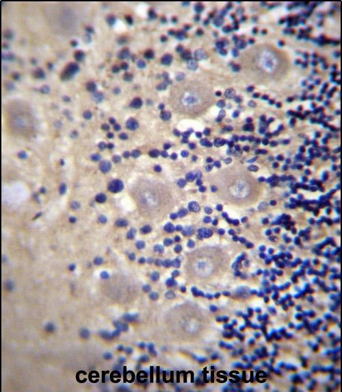
- DRG1 Antibody (C-term) (Cat. #P34600)immunohistochemistry analysis in formalin fixed and paraffin embedded human cerebellum tissue followed by peroxidase conjugation of the secondary antibody and DAB staining.This data demonstrates the use of DRG1 Antibody (C-term) for immunohistochemistry. Clinical relevance has not been evaluated.
For Reseach Only
Application Key:WB - Western Blot | IHC - Immunohistochemistry | ICC - Immunocytochemistry | FCM - Flow Cytometry | ELISA - Enzyme-linked Immunosorbent Assay | IP - Immunoprecipitation
#P34600

相关产品


