提醒成功

搜索
Rabbit Polyclonal Antibody to CTAG1A (N-term)
-
货号:
P34592 -
别名:
Cancer/testis antigen 1, Autoimmunogenic cancer/testis antigen NY-ESO-1, Cancer/testis antigen 61, CT61, L antigen family member 2, LAGE-2, CTAG1A, CTAG, CTAG1, ESO1, LAGE2, LAGE2A -
应用:
WB,IHC-P -
反应种属:
Human -
抗体类型:
Primary antibody -
Swissprot:
P78358 -
规格:
-
数量:
-+ -
说明书:
目录价¥1980

Rabbit Polyclonal Antibody to CTAG1A (N-term)
Description |
---|
CTAG1A is an identical copy of the CTAG1B gene (MIM 300156) (Aradhya et al., 2001 [PubMed 11709543]).[supplied by OMIM]. |
Specification |
|
---|---|
Aliases | Cancer/testis antigen 1, Autoimmunogenic cancer/testis antigen NY-ESO-1, Cancer/testis antigen 61, CT61, L antigen family member 2, LAGE-2, CTAG1A, CTAG, CTAG1, ESO1, LAGE2, LAGE2A |
Entrez GeneID | 1485;246100 |
Swissprot | P78358 |
WB Predicted band size | 18.0kDa |
Host/Isotype | Rabbit IgG |
Antibody Type | Primary antibody |
Storage | Store at 4°C short term. Aliquot and store at -20°C long term. Avoid freeze/thaw cycles. |
Species Reactivity | Human |
Immunogen | This CTAG1A antibody is generated from rabbits immunized with a KLH conjugated synthetic peptide between 1-30 amino acids from the N-terminal region of human CTAG1A. |
Formulation | Purified antibody in PBS with 0.05% sodium azide. |
Application |
|
---|---|
WB | 1/1000 |
IHC | 1/250 |
Product Image
- All lanes : Anti-CTAG1A Antibody (N-term) at 1:1000 dilution Lane 1: HT-1080 whole cell lysate Lane 2: U266B1 whole cell lysate Lysates/proteins at 20 µg per lane. Secondary Goat Anti-Rabbit IgG, (H+L), Peroxidase conjugated at 1/10000 dilution. Predicted band size : 18 kDa Blocking/Dilution buffer: 5% NFDM/TBST.
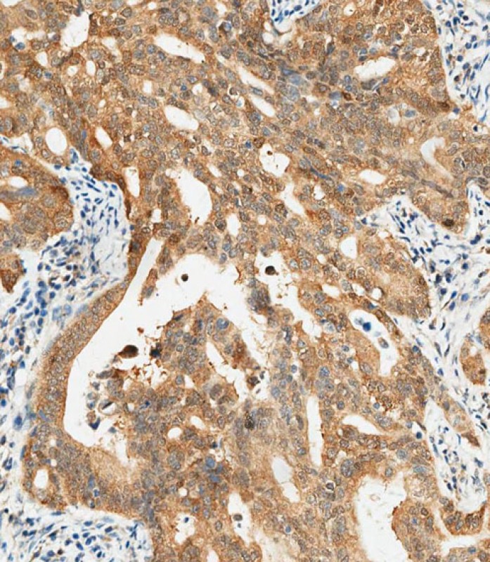
- P34592 staining CTAG1A in human gastric carcinoma tissue sections by Immunohistochemistry (IHC-P - paraformaldehyde-fixed, paraffin-embedded sections). Samples were incubated with primary antibody (1/250) for 1 hours at room temperature. A undiluted biotinylated goat polyvalent antibody was used as the secondary antibody.
For Reseach Only
Application Key:WB - Western Blot | IHC - Immunohistochemistry | ICC - Immunocytochemistry | FCM - Flow Cytometry | ELISA - Enzyme-linked Immunosorbent Assay | IP - Immunoprecipitation
#P34592

相关产品


