提醒成功
搜索
Rabbit Polyclonal Antibody to SFRP5
-
货号:
P34519 -
别名:
Secreted frizzled-related protein 5, sFRP-5, Frizzled-related protein 1b, FRP-1b, Secreted apoptosis-related protein 3, SARP-3, SFRP5, FRP1B, SARP3 -
应用:
WB,IHC-P -
反应种属:
Human, Mouse -
抗体类型:
Primary antibody -
Swissprot:
Q5T4F7 -
规格:
-
数量:
-+ -
说明书:
目录价¥1980
Rabbit Polyclonal Antibody to SFRP5
Description |
|---|
Secreted frizzled-related protein 5 (SFRP5) is a member of the SFRP family that contains a cysteine-rich domain homologous to the putative Wnt-binding site of Frizzled proteins. SFRPs act as soluble modulators of Wnt signaling. SFRP5 and SFRP1 may be involved in determining the polarity of photoreceptor cells in the retina. SFRP5 is highly expressed in the retinal pigment epithelium, and moderately expressed in the pancreas. [provided by RefSeq]. |
Specification |
|
|---|---|
| Aliases | Secreted frizzled-related protein 5, sFRP-5, Frizzled-related protein 1b, FRP-1b, Secreted apoptosis-related protein 3, SARP-3, SFRP5, FRP1B, SARP3 |
| Entrez GeneID | 6425 |
| Swissprot | Q5T4F7 |
| WB Predicted band size | 35.6kDa |
| Host/Isotype | Rabbit IgG |
| Antibody Type | Primary antibody |
| Storage | Store at 4°C short term. Aliquot and store at -20°C long term. Avoid freeze/thaw cycles. |
| Species Reactivity | Human, Mouse |
| Immunogen | This SFRP5 antibody is generated from rabbits immunized with a KLH conjugated synthetic peptide between 190-219 amino acids from the Central region of human SFRP5. |
| Formulation | Purified antibody in PBS with 0.05% sodium azide. |
Application |
|
|---|---|
| WB | 1/2000 |
| IHC | 1/500 |
Product Image
- All lanes : Anti-SFRP5 Antibody (Center) at 1:2000 dilution Lane 1: Human liver lysate Lane 2: Human pancreas lysate Lane 3: Hela whole cell lysate Lane 4: Mouse eyeball lysate Lane 5: Mouse pancreas lysate Lysates/proteins at 20 µg per lane. Secondary Goat Anti-Rabbit IgG, (H+L), Peroxidase conjugated at 1/10000 dilution. Predicted band size : 36 kDa Blocking/Dilution buffer: 5% NFDM/TBST.
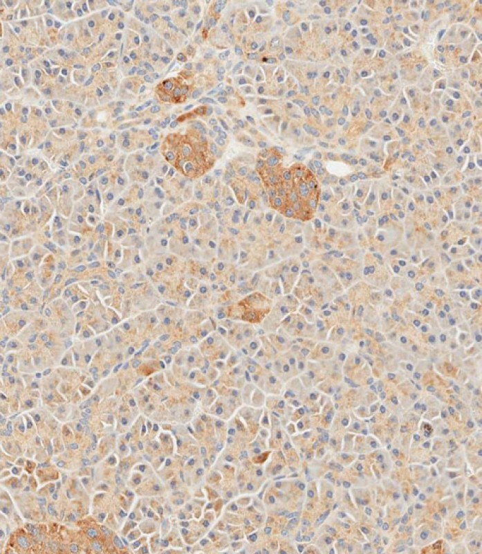
- Immunohistochemical analysis of paraffin-embedded human pancreas tissue using P34519 performed on the Leica® BOND RXm. Samples were incubated with primary antibody(1/500) for 1 hours at room temperature. A undiluted biotinylated CRF Anti-Polyvalent HRP Polymer antibody was used as the secondary antibody.
For Reseach Only
Application Key:WB - Western Blot | IHC - Immunohistochemistry | ICC - Immunocytochemistry | FCM - Flow Cytometry | ELISA - Enzyme-linked Immunosorbent Assay | IP - Immunoprecipitation
#P34519
相关产品

微信/QQ登录


首页
