提醒成功
搜索
Rabbit Polyclonal Antibody to IL1RAP
-
货号:
P34513 -
别名:
Interleukin-1 receptor accessory protein, IL-1 receptor accessory protein, IL-1RAcP, Interleukin-1 receptor 3, IL-1R-3, IL-1R3, IL1RAP, C3orf13, IL1R3 -
应用:
WB,IHC-P -
反应种属:
Human, Mouse, Rat -
抗体类型:
Primary antibody -
Swissprot:
Q9NPH3 -
规格:
-
数量:
-+ -
说明书:
目录价¥1980
Rabbit Polyclonal Antibody to IL1RAP
Description |
|---|
Coreceptor for IL1RL2 in the IL-36 signaling system (By similarity). Coreceptor with IL1R1 in the IL-1 signaling system. Associates with IL1R1 bound to IL1B to form the high affinity interleukin-1 receptor complex which mediates interleukin-1- dependent activation of NF-kappa-B and other pathways. Signaling involves the recruitment of adapter molecules such as TOLLIP, MYD88, and IRAK1 or IRAK2 via the respective TIR domains of the receptor/coreceptor subunits. Recruits TOLLIP to the signaling complex. Does not bind to interleukin-1 alone; binding of IL1RN to IL1R1, prevents its association with IL1R1 to form a signaling complex. The cellular response is modulated through a non- signaling association with the membrane IL1R2 decoy receptor. Secreted forms (isoforms 2 and 3) associate with secreted ligand- bound IL1R2 and increase the affinity of secreted IL1R2 for IL1B; this complex formation may be the dominant mechanism for neutralization of IL1B by secreted/soluble receptors. |
Specification |
|
|---|---|
| Aliases | Interleukin-1 receptor accessory protein, IL-1 receptor accessory protein, IL-1RAcP, Interleukin-1 receptor 3, IL-1R-3, IL-1R3, IL1RAP, C3orf13, IL1R3 |
| Entrez GeneID | 3556 |
| Swissprot | Q9NPH3 |
| WB Predicted band size | 65.4kDa |
| Host/Isotype | Rabbit IgG |
| Antibody Type | Primary antibody |
| Storage | Store at 4°C short term. Aliquot and store at -20°C long term. Avoid freeze/thaw cycles. |
| Species Reactivity | Human, Mouse, Rat |
| Immunogen | This IL1RAP antibody is generated from a rabbit immunized with a KLH conjugated synthetic peptide between 484-518 amino acids of human IL1RAP. |
| Formulation | Purified antibody in PBS with 0.05% sodium azide. |
Application |
|
|---|---|
| WB | 1/2000 |
| IHC | 1/100-1/500 |
Product Image
- Anti-IL1RAP Antibody (C-Term) at 1:2000 dilution + Mouse brain lysate Lysates/proteins at 20 µg per lane. Secondary Goat Anti-Rabbit IgG, (H+L), Peroxidase conjugated at 1/10000 dilution. Predicted band size : 65 kDa Blocking/Dilution buffer: 5% NFDM/TBST.
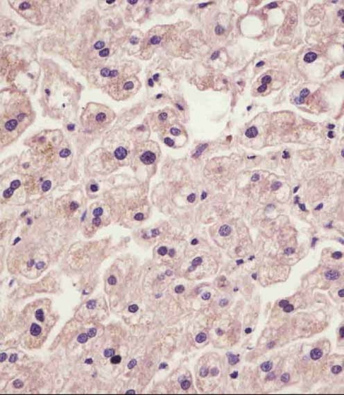
- P34513 staining IL1RAP in human liver tissue sections by Immunohistochemistry (IHC-P - paraformaldehyde-fixed, paraffin-embedded sections). Tissue was fixed with formaldehyde and blocked with 3% BSA for 0. 5 hour at room temperature; antigen retrieval was by heat mediation with a citrate buffer (pH6). Samples were incubated with primary antibody (1/25) for 1 hours at 37°C. A undiluted biotinylated goat polyvalent antibody was used as the secondary antibody.
For Reseach Only
Application Key:WB - Western Blot | IHC - Immunohistochemistry | ICC - Immunocytochemistry | FCM - Flow Cytometry | ELISA - Enzyme-linked Immunosorbent Assay | IP - Immunoprecipitation
#P34513
相关产品

微信/QQ登录


首页
